Π’ΠΎΠΌΠΎΠ³ΡΠ°ΡΠΈΡ ΠΏΠΎΡΠ΅ΠΊ ΠΊΠ°ΠΊ ΠΏΡΠΎΠ²ΠΎΠ΄ΠΈΡΡΡ
ΠΠ’ ΠΏΠΎΡΠ΅ΠΊ, ΠΌΠΎΡΠ΅ΡΠΎΡΠ½ΠΈΠΊΠΎΠ²
ΠΠ»ΠΈΡΠ΅Π»ΡΠ½ΠΎΡΡΡ ΠΈΡΡΠ»Π΅Π΄ΠΎΠ²Π°Π½ΠΈΡ: ΠΎΡ 7 Π΄ΠΎ 25 ΠΌΠΈΠ½.
ΠΠΎΠ΄Π³ΠΎΡΠΎΠ²ΠΊΠ° ΠΊ ΠΈΡΡΠ»Π΅Π΄ΠΎΠ²Π°Π½ΠΈΡ: Π΅ΡΡΡ
ΠΠ³ΡΠ°Π½ΠΈΡΠ΅Π½ΠΈΡ: ΠΠ΅Ρ ΠΏΠ°ΡΠΈΠ΅Π½ΡΠ° Π±ΠΎΠ»Π΅Π΅ 180 ΠΊΠ³.
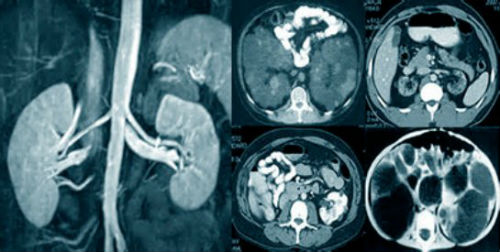
ΠΠ»Ρ Π²ΡΡΠ²Π»Π΅Π½ΠΈΡ Π·Π°Π±ΠΎΠ»Π΅Π²Π°Π½ΠΈΠΉ ΠΌΠΎΡΠ΅Π²ΡΠ΄Π΅Π»ΠΈΡΠ΅Π»ΡΠ½ΠΎΠΉ ΡΠΈΡΡΠ΅ΠΌΡ ΠΈΡΠΏΠΎΠ»ΡΠ·ΡΡΡΡΡ ΠΌΠ½ΠΎΠ³ΠΈΠ΅ Π²ΠΈΠ΄Ρ Π΄ΠΈΠ°Π³Π½ΠΎΡΡΠΈΠΊΠΈ. ΠΠ°ΠΈΠ±ΠΎΠ»Π΅Π΅ ΠΈΠ½ΡΠΎΡΠΌΠ°ΡΠΈΠ²Π½Π°Ρ ΠΈΠ· Π½ΠΈΡ β ΠΊΠΎΠΌΠΏΡΡΡΠ΅ΡΠ½Π°Ρ ΡΠΎΠΌΠΎΠ³ΡΠ°ΡΠΈΡ: Π±Π»Π°Π³ΠΎΠ΄Π°ΡΡ Π²ΡΡΠΎΠΊΠΎΠΌΡ ΡΠ°Π·ΡΠ΅ΡΠ΅Π½ΠΈΡ ΠΌΠ΅ΡΠΎΠ΄ ΠΏΠΎΠ·Π²ΠΎΠ»ΡΠ΅Ρ ΠΎΠ±Π½Π°ΡΡΠΆΠΈΡΡ ΠΊΠ°ΠΌΠ½ΠΈ ΠΌΠ΅Π½Π΅Π΅ 1 ΠΌΠΌ. Π‘ΠΊΠ°Π½ΠΈΡΠΎΠ²Π°Π½ΠΈΠ΅ ΠΏΡΠΈ ΠΠ’ Π²ΡΠΏΠΎΠ»Π½ΡΠ΅ΡΡΡ Ρ ΡΠ°Π·Π½ΡΡ ΡΠΎΡΠ΅ΠΊ ΠΈ ΠΏΠΎΠ΄ ΡΠ°Π·Π½ΡΠΌΠΈ ΡΠ³Π»Π°ΠΌΠΈ, Π² ΡΠ΅Π·ΡΠ»ΡΡΠ°ΡΠ΅ ΡΠ΅Π³ΠΎ ΡΠΎΡΠΌΠΈΡΡΡΡΡΡ ΡΡΠ΅Ρ ΠΌΠ΅ΡΠ½ΡΠ΅ ΠΈΠ·ΠΎΠ±ΡΠ°ΠΆΠ΅Π½ΠΈΡ ΠΏΠΎΡΠ»ΠΎΠΉΠ½ΡΡ ΡΡΠ΅Π·ΠΎΠ² ΠΈΡΡΠ»Π΅Π΄ΡΠ΅ΠΌΠΎΠ³ΠΎ ΠΎΡΠ³Π°Π½Π°.
Π§ΡΠΎ ΡΠ°ΠΊΠΎΠ΅ ΠΠ’
ΠΠΎΠΌΠΏΡΡΡΠ΅ΡΠ½Π°Ρ ΡΠΎΠΌΠΎΠ³ΡΠ°ΡΠΈΡ β ΡΠΎΠ²ΡΠ΅ΠΌΠ΅Π½Π½ΡΠΉ ΠΌΠ΅ΡΠΎΠ΄ Π΄ΠΈΠ°Π³Π½ΠΎΡΡΠΈΠΊΠΈ, ΠΏΡΠΈΠ½ΡΠΈΠΏ ΠΊΠΎΡΠΎΡΠΎΠ³ΠΎ Π·Π°ΠΊΠ»ΡΡΠ°Π΅ΡΡΡ Π² ΠΏΡΠΎΡΠ²Π΅ΡΠΈΠ²Π°Π½ΠΈΠΈ ΡΠ΅Π½ΡΠ³Π΅Π½ΠΎΠ²ΡΠΊΠΈΠΌΠΈ Π»ΡΡΠ°ΠΌΠΈ ΠΎΡΠ³Π°Π½ΠΎΠ² ΠΏΠ°ΡΠΈΠ΅Π½ΡΠ° Ρ ΠΏΠΎΡΠ»Π΅Π΄ΡΡΡΠΈΠΌ ΡΠΎΡΠΌΠΈΡΠΎΠ²Π°Π½ΠΈΠ΅ΠΌ ΠΈ Π²ΡΠ²ΠΎΠ΄ΠΎΠΌ Π½Π° ΠΌΠΎΠ½ΠΈΡΠΎΡ ΠΎΠ±ΡΠ΅ΠΌΠ½ΠΎΠ³ΠΎ ΡΠ½ΠΈΠΌΠΊΠ° (3D). ΠΡΠ° ΠΏΡΠΎΡΠ΅Π΄ΡΡΠ° Π°Π±ΡΠΎΠ»ΡΡΠ½ΠΎ Π±Π΅Π·ΠΎΠΏΠ°ΡΠ½Π° ΠΈ Π±Π΅Π·Π±ΠΎΠ»Π΅Π·Π½Π΅Π½Π½Π° Π΄Π»Ρ ΠΎΠ±ΡΠ»Π΅Π΄ΡΠ΅ΠΌΠΎΠ³ΠΎ ΡΠ΅Π»ΠΎΠ²Π΅ΠΊΠ°.
ΠΠ’ ΠΏΠΎΡΠ΅ΠΊ ΠΈ ΠΌΠΎΡΠ΅ΡΠΎΡΠ½ΠΈΠΊΠΎΠ² β ΡΡΠΎ Π²ΠΈΠ΄ ΠΎΠ±ΡΠ»Π΅Π΄ΠΎΠ²Π°Π½ΠΈΡ, Π²ΡΡΠ²Π»ΡΡΡΠΈΠΉ ΡΡΠ½ΠΊΡΠΈΠΎΠ½Π°Π»ΡΠ½ΡΠ΅ ΠΈ ΠΎΡΠ³Π°Π½ΠΈΡΠ΅ΡΠΊΠΈΠ΅ ΠΏΠ°ΡΠΎΠ»ΠΎΠ³ΠΈΡΠ΅ΡΠΊΠΈΠ΅ ΠΈΠ·ΠΌΠ΅Π½Π΅Π½ΠΈΡ Π² ΠΌΠΎΡΠ΅Π²ΡΠ΄Π΅Π»ΠΈΡΠ΅Π»ΡΠ½ΠΎΠΉ ΡΠΈΡΡΠ΅ΠΌΠ΅.
ΠΠ°ΡΠ΅ΠΌ Π½ΡΠΆΠ½Π° ΠΠ’
ΠΠ»Π°Π³ΠΎΠ΄Π°ΡΡ ΡΠΎΠΌΠΎΠ³ΡΠ°ΡΠΈΠΈ ΡΠΏΠ΅ΡΠΈΠ°Π»ΠΈΡΡ ΠΌΠΎΠΆΠ΅Ρ Π΄Π°ΡΡ ΠΎΡΠ΅Π½ΠΊΡ ΡΡΠ½ΠΊΡΠΈΠΎΠ½ΠΈΡΠΎΠ²Π°Π½ΠΈΡ ΠΈ Π°Π½Π°ΡΠΎΠΌΠΈΡΠ΅ΡΠΊΠΎΠΌΡ ΡΠΎΡΡΠΎΡΠ½ΠΈΡ ΠΏΠΎΡΠ΅ΠΊ ΠΈ ΠΌΠΎΡΠ΅ΡΠΎΡΠ½ΠΈΠΊΠΎΠ². ΠΠΎΠ»ΡΡΠ΅Π½Π½ΡΠ΅ ΠΈΠ·ΠΎΠ±ΡΠ°ΠΆΠ΅Π½ΠΈΡ ΠΏΠΎΠ·Π²ΠΎΠ»ΡΡΡ ΡΠ²ΠΈΠ΄Π΅ΡΡ ΡΠ»Π΅Π΄ΡΡΡΠΈΠ΅ ΠΏΠ°ΡΠΎΠ»ΠΎΠ³ΠΈΠΈ:
— ΠΈΠ·ΠΌΠ΅Π½Π΅Π½ΠΈΡ ΡΠ°Π·ΠΌΠ΅ΡΠ°, ΡΠΎΡΠΌΡ ΠΈ ΡΡΡΡΠΊΡΡΡΡ ΠΎΡΠ³Π°Π½ΠΎΠ²;
— Π½ΠΎΠ²ΠΎΠΎΠ±ΡΠ°Π·ΠΎΠ²Π°Π½ΠΈΡ ΡΠ°Π·Π½ΠΎΠ³ΠΎ ΠΏΡΠΎΠΈΡΡ
ΠΎΠΆΠ΄Π΅Π½ΠΈΡ, ΠΌΠ΅ΡΠ°ΡΡΠ°Π·Ρ;
— Π²ΡΠΎΠΆΠ΄Π΅Π½Π½ΡΠ΅ Π°Π½ΠΎΠΌΠ°Π»ΠΈΠΈ;
— ΡΠΊΠΎΠΏΠ»Π΅Π½ΠΈΠ΅ Π² ΠΏΠΎΡΠ΅ΡΠ½ΡΡ
ΡΠ°ΡΠ΅ΡΠΊΠ°Ρ
ΠΆΠΈΠ΄ΠΊΠΎΡΡΠΈ ΠΈ ΠΊΡΠΎΠ²ΠΈ;
— ΡΠΎΡΡΠΎΡΠ½ΠΈΠ΅ ΠΊΠ°ΠΏΡΡΠ»Ρ ΠΈ ΠΎΠΊΡΡΠΆΠ°ΡΡΠΈΡ
ΡΠΊΠ°Π½Π΅ΠΉ;
— ΠΊΠΈΡΡΡ ΠΈ ΠΊΠ°ΠΌΠ½ΠΈ;
— Π½Π°ΡΡΡΠ΅Π½ΠΈΡ ΡΡΠ½ΠΊΡΠΈΠΉ ΠΏΠΎΡΠ΅ΠΊ.
ΠΠ’-Π΄ΠΈΠ°Π³Π½ΠΎΡΡΠΈΠΊΠ° ΠΏΠΎΡΠ΅ΠΊ ΠΈ ΠΌΠΎΡΠ΅Π²ΡΠ²ΠΎΠ΄ΡΡΠΈΡ ΠΏΡΡΠ΅ΠΉ ΠΏΡΠΎΠ²ΠΎΠ΄ΠΈΡΡΡ Ρ ΡΠ΅Π»ΡΡ ΠΎΠ±Π½Π°ΡΡΠΆΠ΅Π½ΠΈΡ ΠΏΠ°ΡΠΎΠ»ΠΎΠ³ΠΈΠΉ ΠΌΠΎΡΠ΅Π²ΡΠ²ΠΎΠ΄ΡΡΠ΅ΠΉ ΡΠΈΡΡΠ΅ΠΌΡ. ΠΡΡΠ»Π΅Π΄ΠΎΠ²Π°Π½ΠΈΠ΅ ΠΏΠΎΠ·Π²ΠΎΠ»ΡΠ΅Ρ Π²ΡΡΠ²Π»ΡΡΡ Π·Π°Π±ΠΎΠ»Π΅Π²Π°Π½ΠΈΡ Π΅ΡΠ΅ Π½Π° Π½Π°ΡΠ°Π»ΡΠ½ΠΎΠΉ ΡΡΠ°Π΄ΠΈΠΈ ΡΠ°Π·Π²ΠΈΡΠΈΡ, ΡΡΠΎ ΡΠΏΠΎΡΠΎΠ±ΡΡΠ²ΡΠ΅Ρ ΡΠ²ΠΎΠ΅Π²ΡΠ΅ΠΌΠ΅Π½Π½ΠΎΠΌΡ Π½Π°Π·Π½Π°ΡΠ΅Π½ΠΈΡ Π»Π΅ΡΠ΅Π½ΠΈΡ.
ΠΠΎΠΊΠ°Π·Π°Π½ΠΈΡ ΠΊ ΠΠ’ ΠΏΠΎΡΠ΅ΠΊ, ΠΌΠΎΡΠ΅ΡΠΎΡΠ½ΠΈΠΊΠΎΠ²
ΠΠ±ΡΠ»Π΅Π΄ΠΎΠ²Π°Π½ΠΈΠ΅ ΠΏΠΎΡΠ΅ΠΊ ΠΈ ΠΌΠΎΡΠ΅ΡΠΎΡΠ½ΠΈΠΊΠΎΠ² Ρ ΠΏΠΎΠΌΠΎΡΡΡ ΡΠΎΠΌΠΎΠ³ΡΠ°ΡΠ° Π½Π°Π·Π½Π°ΡΠ°ΡΡ Π² ΡΠ»Π΅Π΄ΡΡΡΠΈΡ ΡΠ»ΡΡΠ°ΡΡ :
— ΠΏΠΎΡΠ΅ΡΠ½Π°Ρ ΠΊΠΎΠ»ΠΈΠΊΠ°;
— ΠΏΠΎΠ»ΠΈΠΊΠΈΡΡΠΎΠ·;
— ΠΏΠΎΡΠ΅ΡΠ½ΠΎΠΊΠ°ΠΌΠ΅Π½Π½Π°Ρ Π±ΠΎΠ»Π΅Π·Π½Ρ;
— Ρ
ΡΠΎΠ½ΠΈΡΠ΅ΡΠΊΠΈΠ΅ ΠΈΠ½ΡΠ΅ΠΊΡΠΈΠΎΠ½Π½ΡΠ΅ Π·Π°Π±ΠΎΠ»Π΅Π²Π°Π½ΠΈΡ;
— ΠΏΠΎΡΠ΅ΡΠ½Π°Ρ Π½Π΅Π΄ΠΎΡΡΠ°ΡΠΎΡΠ½ΠΎΡΡΡ;
— ΠΏΡΠΈΡΡΡΡΡΠ²ΠΈΠ΅ ΠΏΠ΅ΡΠΊΠ° ΠΈ ΠΊΠ°ΠΌΠ½Π΅ΠΉ;
— Π·Π»ΠΎΠΊΠ°ΡΠ΅ΡΡΠ²Π΅Π½Π½ΡΠ΅ ΠΈ Π΄ΠΎΠ±ΡΠΎΠΊΠ°ΡΠ΅ΡΡΠ²Π΅Π½Π½ΡΠ΅ ΠΎΠΏΡΡ
ΠΎΠ»ΠΈ;
— Π°Π±ΡΡΠ΅ΡΡ;
— ΠΏΡΠΎΠ±Π»Π΅ΠΌΡ Ρ ΠΌΠΎΡΠ΅ΠΈΡΠΏΡΡΠΊΠ°Π½ΠΈΠ΅ΠΌ;
— ΡΡΠ°Π²ΠΌΠ° Π±ΡΡΡΠ½ΠΎΠΉ ΠΏΠΎΠ»ΠΎΡΡΠΈ;
— ΠΏΠΎΡΡΠΎΡΠ½Π½ΡΠ΅ ΠΈΠ»ΠΈ ΠΏΠ΅ΡΠΈΠΎΠ΄ΠΈΡΠ΅ΡΠΊΠΈΠ΅ Π±ΠΎΠ»ΠΈ Π² ΠΎΠ±Π»Π°ΡΡΠΈ ΠΏΠΎΡΡΠ½ΠΈΡΡ;
— Π²ΠΎΡΠΏΠ°Π»ΠΈΡΠ΅Π»ΡΠ½ΡΠ΅ ΠΈ Π³Π½ΠΎΠΉΠ½ΡΠ΅ ΠΏΡΠΎΡΠ΅ΡΡΡ;
— ΠΏΠΎΠ΄Π³ΠΎΡΠΎΠ²ΠΊΠ° ΠΊ Π±ΠΈΠΎΠΏΡΠΈΠΈ;
— ΠΊΠΎΠ½ΡΡΠΎΠ»Ρ ΡΠΎΡΡΠΎΡΠ½ΠΈΡ ΠΎΡΠ³Π°Π½ΠΎΠ² Π² ΠΏΡΠΎΡΠ΅ΡΡΠ΅ Π»Π΅ΡΠ΅Π½ΠΈΡ ΠΈΠ»ΠΈ Π² ΠΏΠΎΡΠ»Π΅ΠΎΠΏΠ΅ΡΠ°ΡΠΈΠΎΠ½Π½ΡΠΉ ΠΏΠ΅ΡΠΈΠΎΠ΄.
ΠΠ°ΠΊ ΠΏΡΠΎΠ²ΠΎΠ΄ΠΈΡΡΡ
Π ΠΊΠ°Π±ΠΈΠ½Π΅ΡΠ΅ ΡΠΎΠΌΠΎΠ³ΡΠ°ΡΠΈΠΈ ΠΏΠ°ΡΠΈΠ΅Π½Ρ ΡΠ½ΠΈΠΌΠ°Π΅Ρ Ρ ΡΠ΅Π±Ρ Π²ΡΠ΅ ΠΌΠ΅ΡΠ°Π»Π»ΠΈΡΠ΅ΡΠΊΠΈΠ΅ ΠΏΡΠ΅Π΄ΠΌΠ΅ΡΡ ΠΈ ΡΠΊΠ»Π°Π΄ΡΠ²Π°Π΅ΡΡΡ Π½Π° Π²ΡΠ΄Π²ΠΈΠΆΠ½ΠΎΠΉ Π΄ΠΈΠ°Π³Π½ΠΎΡΡΠΈΡΠ΅ΡΠΊΠΈΠΉ ΡΡΠΎΠ», ΠΊΠΎΡΠΎΡΡΠΉ ΠΏΠΎΡΠ»Π΅ Π·Π°Π΄Π²ΠΈΠ³Π°ΡΡ Π² ΡΠΎΠ½Π½Π΅Π»Ρ ΡΠΎ ΡΠΊΠ°Π½Π΅ΡΠΎΠΌ.
ΠΠ°ΠΆΠ½ΠΎ! ΠΠ½Π΅ Π·Π°Π²ΠΈΡΠΈΠΌΠΎΡΡΠΈ ΠΎΡ ΡΠΎΠ³ΠΎ, ΠΊΠ°ΠΊΠ°Ρ ΠΈΠ· ΠΏΠΎΡΠ΅ΠΊ ΠΏΠΎΠ΄Π²Π΅ΡΠ³Π°Π΅ΡΡΡ ΠΎΠ±ΡΠ»Π΅Π΄ΠΎΠ²Π°Π½ΠΈΡ: ΠΏΡΠ°Π²Π°Ρ ΠΈΠ»ΠΈ Π»Π΅Π²Π°Ρ, ΠΏΠ°ΡΠΈΠ΅Π½Ρ Π΄ΠΎΠ»ΠΆΠ΅Π½ ΠΏΡΠΈΠ½ΡΡΡ ΠΏΠΎΠ»ΠΎΠΆΠ΅Π½ΠΈΠ΅ Β«Π»Π΅ΠΆΠ° Π½Π° ΡΠΏΠΈΠ½Π΅Β».
ΠΠ°Π΄ ΠΈΡΡΠ»Π΅Π΄ΡΠ΅ΠΌΠΎΠΉ ΠΎΠ±Π»Π°ΡΡΡΡ ΡΠ°ΡΠΏΠΎΠ»Π°Π³Π°ΡΡ Π²ΡΠ°ΡΠ°ΡΡΠ΅Π΅ΡΡ ΠΊΠΎΠ»ΡΡΠΎ. ΠΠ»Π°Π³ΠΎΠ΄Π°ΡΡ ΡΡΠΎΠΌΡ ΡΡΡΡΠΎΠΉΡΡΠ²Ρ ΠΏΡΠΎΠΈΡΡ ΠΎΠ΄ΠΈΡ ΡΠΎΡΠΌΠΈΡΠΎΠ²Π°Π½ΠΈΠ΅ ΡΡΠ΅Ρ ΠΌΠ΅ΡΠ½ΡΡ ΠΈΠ·ΠΎΠ±ΡΠ°ΠΆΠ΅Π½ΠΈΠΉ ΠΎΡΠ³Π°Π½Π°, ΠΏΠΎΡΠ»Π΅ ΡΠ΅Π³ΠΎ ΡΠ½ΠΈΠΌΠΊΠΈ Π²ΡΠ²ΠΎΠ΄ΡΡΡΡ Π½Π° ΠΌΠΎΠ½ΠΈΡΠΎΡ. ΠΠ΅ΡΡ ΠΏΡΠΎΡΠ΅ΡΡ ΡΠΊΠ°Π½ΠΈΡΠΎΠ²Π°Π½ΠΈΡ ΠΏΠ°ΡΠΈΠ΅Π½Ρ Π»Π΅ΠΆΠΈΡ Π½Π΅ΠΏΠΎΠ΄Π²ΠΈΠΆΠ½ΠΎ ΠΈ Π²ΡΠΏΠΎΠ»Π½ΡΠ΅Ρ Π²ΡΠ΅ ΡΠΊΠ°Π·Π°Π½ΠΈΡ ΡΠΏΠ΅ΡΠΈΠ°Π»ΠΈΡΡΠ°, Π½Π°Ρ ΠΎΠ΄ΡΡΠ΅Π³ΠΎΡΡ Π² ΡΠΎΡΠ΅Π΄Π½Π΅ΠΌ ΠΊΠ°Π±ΠΈΠ½Π΅ΡΠ΅. ΠΡΠ΅ΠΌΡ ΠΏΡΠΎΠ²Π΅Π΄Π΅Π½ΠΈΡ ΠΠ’ ΠΏΠΎΡΠ΅ΠΊ Π±Π΅Π· ΠΊΠΎΠ½ΡΡΠ°ΡΡΠ° Π½Π° Π½ΠΎΠ²Π΅ΠΉΡΠ΅ΠΌ ΠΎΠ±ΠΎΡΡΠ΄ΠΎΠ²Π°Π½ΠΈΠΈ β ΠΎΡ 7 Π΄ΠΎ 30 ΠΌΠΈΠ½ΡΡ.
ΠΠ³ΡΠ°Π½ΠΈΡΠ΅Π½ΠΈΡ
ΠΠ’ ΠΈΠΌΠ΅Π΅Ρ ΡΡΠ΄ ΠΏΡΠΎΡΠΈΠ²ΠΎΠΏΠΎΠΊΠ°Π·Π°Π½ΠΈΠΉ, ΠΊΠΎΡΠΎΡΡΠ΅ Π΄Π΅Π»ΡΡ Π½Π° Π΄Π²Π΅ ΠΊΠ°ΡΠ΅Π³ΠΎΡΠΈΠΈ: Π°Π±ΡΠΎΠ»ΡΡΠ½ΡΠ΅ ΠΈ ΠΎΡΠ½ΠΎΡΠΈΡΠ΅Π»ΡΠ½ΡΠ΅.
— Π±Π΅ΡΠ΅ΠΌΠ΅Π½Π½ΠΎΡΡΡ;
— ΠΏΡΠΈΡ
ΠΈΡΠ΅ΡΠΊΠΈΠ΅ ΡΠ°ΡΡΡΡΠΎΠΉΡΡΠ²Π°.
— ΠΏΠ΅ΡΠΈΠΎΠ΄ Π³ΡΡΠ΄Π½ΠΎΠ³ΠΎ Π²ΡΠΊΠ°ΡΠΌΠ»ΠΈΠ²Π°Π½ΠΈΡ;
— ΠΎΡΡΡΠΎΠ΅ Π²ΠΎΡΠΏΠ°Π»Π΅Π½ΠΈΠ΅ ΠΏΠΎΡΠ΅ΠΊ;
— Ρ
ΡΠΎΠ½ΠΈΡΠ΅ΡΠΊΠ°Ρ ΠΏΠΎΡΠ΅ΡΠ½Π°Ρ Π½Π΅Π΄ΠΎΡΡΠ°ΡΠΎΡΠ½ΠΎΡΡΡ;
— ΠΏΠΎΠ²ΡΡΠ΅Π½Π½Π°Ρ ΡΡΠ½ΠΊΡΠΈΡ ΡΠΈΡΠΎΠ²ΠΈΠ΄Π½ΠΎΠΉ ΠΆΠ΅Π»Π΅Π·Ρ;
— Π΄Π΅ΠΊΠΎΠΌΠΏΠ΅Π½ΡΠΈΡΠΎΠ²Π°Π½Π½ΡΠΉ ΡΠ°Ρ
Π°ΡΠ½ΡΠΉ Π΄ΠΈΠ°Π±Π΅Ρ;
— ΡΠ΅ΡΡΠ΅Π·Π½ΡΠ΅ ΡΠ΅ΡΠ΄Π΅ΡΠ½ΠΎ-ΡΠΎΡΡΠ΄ΠΈΡΡΡΠ΅ Π·Π°Π±ΠΎΠ»Π΅Π²Π°Π½ΠΈΡ;
— ΠΈΠ½Π΄ΠΈΠ²ΠΈΠ΄ΡΠ°Π»ΡΠ½Π°Ρ Π½Π΅ΠΏΠ΅ΡΠ΅Π½ΠΎΡΠΈΠΌΠΎΡΡΡ ΠΉΠΎΠ΄ΡΠΎΠ΄Π΅ΡΠΆΠ°ΡΠ΅Π³ΠΎ Π²Π΅ΡΠ΅ΡΡΠ²Π° (ΠΏΡΠΈ ΠΈΡΠΏΠΎΠ»ΡΠ·ΠΎΠ²Π°Π½ΠΈΠΈ ΠΊΠΎΠ½ΡΡΠ°ΡΡΠ°).
ΠΠΎΠ΄Π³ΠΎΡΠΎΠ²ΠΊΠ° ΠΊ ΠΠ’
ΠΡΡΠ»Π΅Π΄ΠΎΠ²Π°Π½ΠΈΠ΅, ΠΏΡΠΎΠ²ΠΎΠ΄ΠΈΠΌΠΎΠ΅ Π±Π΅Π· ΠΊΠΎΠ½ΡΡΠ°ΡΡΠ½ΠΎΠ³ΠΎ Π²Π΅ΡΠ΅ΡΡΠ²Π°, ΠΏΡΠ΅Π΄Π²Π°ΡΠΈΡΠ΅Π»ΡΠ½ΠΎΠΉ ΠΏΠΎΠ΄Π³ΠΎΡΠΎΠ²ΠΊΠΈ Π½Π΅ ΡΡΠ΅Π±ΡΠ΅Ρ. Π’Π΅ΠΌ Π½Π΅ ΠΌΠ΅Π½Π΅Π΅, ΠΏΠ°ΡΠΈΠ΅Π½ΡΠ°ΠΌ, ΡΠΊΠ»ΠΎΠ½Π½ΡΠΌ ΠΊ ΠΌΠ΅ΡΠ΅ΠΎΡΠΈΠ·ΠΌΡ, Π½Π΅ΠΎΠ±Ρ ΠΎΠ΄ΠΈΠΌΠΎ:
ΠΠ° ΠΎΠ±ΡΠ»Π΅Π΄ΠΎΠ²Π°Π½ΠΈΠ΅ ΡΠ΅ΠΊΠΎΠΌΠ΅Π½Π΄ΡΠ΅ΡΡΡ Π½Π°Π΄Π΅ΡΡ ΡΠ²ΠΎΠ±ΠΎΠ΄Π½ΡΡ ΠΎΠ΄Π΅ΠΆΠ΄Ρ Π±Π΅Π· ΠΌΠ΅ΡΠ°Π»Π»ΠΈΡΠ΅ΡΠΊΠΈΡ Π²ΡΡΠ°Π²ΠΎΠΊ.
ΠΠ΄Π΅ ΡΠ΄Π΅Π»Π°ΡΡ ΠΠ’ ΠΏΠΎΡΠ΅ΠΊ, ΠΌΠΎΡΠ΅ΡΠΎΡΠ½ΠΈΠΊΠΎΠ²
ΠΠΎΠΌΠΏΡΡΡΠ΅ΡΠ½ΠΎΡ ΡΠΎΠΌΠΎΠ³ΡΠ°ΡΠΈΡ ΠΌΠΎΡΠ΅ΡΠΎΡΠ½ΠΈΠΊΠΎΠ² ΠΈ ΠΏΠΎΡΠ΅ΠΊ ΠΌΠΎΠΆΠ½ΠΎ ΡΠ΄Π΅Π»Π°ΡΡ Π² Π½Π°ΡΠ΅ΠΉ ΠΊΠ»ΠΈΠ½ΠΈΠΊΠ΅, Π³Π΄Π΅ ΡΠΊΠ°Π½ΠΈΡΠΎΠ²Π°Π½ΠΈΠ΅ ΠΏΡΠΎΠΈΠ·Π²ΠΎΠ΄ΠΈΡΡΡ Π½Π° ΠΏΠΎΡΠ»Π΅Π΄Π½Π΅ΠΉ ΠΌΠΎΠ΄Π΅Π»ΠΈ ΡΠΎΠΌΠΎΠ³ΡΠ°ΡΠ° Β«Aquilion CXLΒ» ΠΎΡ ΡΠΏΠΎΠ½ΡΠΊΠΎΠ³ΠΎ ΠΏΡΠΎΠΈΠ·Π²ΠΎΠ΄ΠΈΡΠ΅Π»Ρ Toshiba Medical Systems Corporation, ΠΏΡΠΎΡ ΠΎΠ΄ΠΈΡ Ρ Π½ΠΈΠ·ΠΊΠΎΠΉ Π»ΡΡΠ΅Π²ΠΎΠΉ Π½Π°Π³ΡΡΠ·ΠΊΠΎΠΉ, Π° Π΄ΠΈΠ°Π³Π½ΠΎΡΡΠΈΡΠ΅ΡΠΊΠΈΠΉ ΡΡΠΎΠ» Π²ΡΠ΄Π΅ΡΠΆΠΈΠ²Π°Π΅Ρ Π²Π΅Ρ ΠΏΠ°ΡΠΈΠ΅Π½ΡΠ° Π΄ΠΎ 180 ΠΊΠ³.
Π’Π°ΠΊΠΆΠ΅ ΠΊ ΠΏΡΠ΅ΠΈΠΌΡΡΠ΅ΡΡΠ²Π°ΠΌ ΠΌΠΎΠΆΠ½ΠΎ ΠΎΡΠ½Π΅ΡΡΠΈ ΠΎΡΠΏΡΠ°Π²ΠΊΡ ΠΎΠΏΠΈΡΠ°Π½ΠΈΠΉ Π½Π° ΡΠ»Π΅ΠΊΡΡΠΎΠ½Π½ΡΡ ΠΏΠΎΡΡΡ ΠΊΠ»ΠΈΠ΅Π½ΡΠΎΠ², ΡΡΠΎ ΠΈΠ·Π±Π°Π²Π»ΡΠ΅Ρ ΠΈΡ ΠΎΡ ΠΎΠΆΠΈΠ΄Π°Π½ΠΈΡ Π² ΠΏΠΎΠΌΠ΅ΡΠ΅Π½ΠΈΠΈ ΠΊΠ»ΠΈΠ½ΠΈΠΊΠΈ. ΠΠ° Π΄ΠΎΠΏΠΎΠ»Π½ΠΈΡΠ΅Π»ΡΠ½ΡΡ ΠΏΠ»Π°ΡΡ Π²ΠΎΠ·ΠΌΠΎΠΆΠ΅Π½ ΠΏΠ΅ΡΠ΅Π²ΠΎΠ΄ ΠΎΠΏΠΈΡΠ°Π½ΠΈΡ Π½Π° Π°Π½Π³Π»ΠΈΠΉΡΠΊΠΈΠΉ ΡΠ·ΡΠΊ.
ΠΠ°ΠΆΠ½ΠΎ! ΠΠΎΡΠ»Π΅ ΠΎΠΊΠΎΠ½ΡΠ°Π½ΠΈΡ ΠΈΡΡΠ»Π΅Π΄ΠΎΠ²Π°Π½ΠΈΡ ΠΏΠ°ΡΠΈΠ΅Π½Ρ ΠΌΠΎΠΆΠ΅Ρ ΡΡΠ°Π·Ρ ΠΏΠΎΡΠ΅ΡΠΈΡΡ Π½Π΅ΠΎΠ±Ρ ΠΎΠ΄ΠΈΠΌΠΎΠ³ΠΎ Π²ΡΠ°ΡΠ° ΠΈ ΠΏΠΎΠ»ΡΡΠΈΡΡ Π³ΡΠ°ΠΌΠΎΡΠ½ΡΡ ΠΊΠΎΠ½ΡΡΠ»ΡΡΠ°ΡΠΈΡ.
ΠΠ° ΡΡΠΎΡ Π²ΠΈΠ΄ Π΄ΠΈΠ°Π³Π½ΠΎΡΡΠΈΠΊΠΈ Ρ Π½Π°Ρ ΠΎΠ΄Π½Π° ΠΈΠ· ΡΠ°ΠΌΡΡ Π΄ΠΎΡΡΡΠΏΠ½ΡΡ ΡΠ΅Π½ Π² ΠΠΎΡΠΊΠ²Π΅! ΠΠ±ΡΠ°ΡΠΈΠ²ΡΠΈΡΡ ΠΊ Π½Π°ΠΌ Π² ΡΠ΅Π½ΡΡ, Π²Ρ ΠΏΠΎΠ»ΡΡΠ°Π΅ΡΠ΅ ΠΊΠ°ΡΠ΅ΡΡΠ²Π΅Π½Π½ΠΎΠ΅ ΠΎΠ±ΡΠ»Π΅Π΄ΠΎΠ²Π°Π½ΠΈΠ΅ Π½Π° Π°ΠΏΠΏΠ°ΡΠ°ΡΠ΅ Π²ΡΡΠΎΡΠ°ΠΉΡΠ΅Π³ΠΎ ΠΌΠ΅ΠΆΠ΄ΡΠ½Π°ΡΠΎΠ΄Π½ΠΎΠ³ΠΎ ΠΊΠ»Π°ΡΡΠ°. Π‘ΡΠ°Π·Ρ ΠΏΠΎΡΠ»Π΅ ΠΎΠ±ΡΠ»Π΅Π΄ΠΎΠ²Π°Π½ΠΈΡ Π²Ρ ΠΌΠΎΠΆΠ΅ΡΠ΅ Π·Π°ΠΏΠΈΡΠ°ΡΡΡΡ ΠΊ Π½ΡΠΆΠ½ΠΎΠΌΡ ΡΠΏΠ΅ΡΠΈΠ°Π»ΠΈΡΡΡ. Π ΠΠ»ΠΈΠ½ΠΈΠΊΠ΅ ΠΠ΄ΠΎΡΠΎΠ²ΡΡ Π²Π΅Π΄ΡΡ ΠΏΡΠΈΠ΅ΠΌ Π²ΡΠ°ΡΠΈ ΡΠΎ ΡΡΠ°ΠΆΠ΅ΠΌ ΡΠ°Π±ΠΎΡΡ ΠΎΡ 15 Π»Π΅Ρ.
ΠΠ°ΠΊ Π΄ΠΎΠ±ΡΠ°ΡΡΡΡ:
7 ΠΌΠΈΠ½ΡΡ ΠΏΠ΅ΡΠΊΠΎΠΌ ΠΎΡ ΡΡΠ°Π½ΡΠΈΠΈ ΠΌΠ΅ΡΡΠΎ: ΠΡΡΡΠΊΠ°Ρ ΠΈΠ»ΠΈ Π§ΠΊΠ°Π»ΠΎΠ²ΡΠΊΠ°Ρ. ΠΡΡ ΠΎΠ΄ ΠΊ Π’Π¦ «ΠΡΡΠΈΡΠΌ», ΠΏΠΎ ΠΏΠΎΠ΄Π·Π΅ΠΌΠ½ΠΎΠΌΡ ΠΏΠ΅ΡΠ΅Ρ ΠΎΠ΄Ρ Π½Π° Π΄ΡΡΠ³ΡΡ ΡΡΠΎΡΠΎΠ½Ρ Π΄ΠΎΡΠΎΠ³ΠΈ Π²ΡΡ ΠΎΠ΄ Π½Π°ΠΏΡΠ°Π²ΠΎ ΠΈΠ· ΠΏΠ΅ΡΠ΅Ρ ΠΎΠ΄Π°, Π΄ΠΎΡ ΠΎΠ΄ΠΈΠΌ Π΄ΠΎ ΠΊΠΎΠ½ΡΠ° Π΄ΠΎΠΌΠ° ΠΈ ΠΏΠΎΠ²ΠΎΡΠ°ΡΠΈΠ²Π°Π΅ΠΌ Π½Π°Π»Π΅Π²ΠΎ ΠΈΠ΄Π΅ΠΌ Π΄ΠΎ ΠΊΠΎΠ½ΡΠ° ΡΠ»ΠΈΡΡ, ΠΏΠ΅ΡΠ΅Ρ ΠΎΠ΄ΠΈΠΌ Π΄ΠΎΡΠΎΠ³Ρ ΠΏΠΎΠ²ΠΎΡΠ°ΡΠΈΠ²Π°Π΅ΠΌ Π½Π°Π»Π΅Π²ΠΎ, Π²ΡΠΎΡΠ°Ρ Π°ΡΠΊΠ° ΡΠΏΡΠ°Π²Π° Π²Ρ ΠΎΠ΄ Π²ΠΎ Π΄Π²ΠΎΡ, ΠΏΡΠΎΡ ΠΎΠ΄ΠΈΠΌ ΠΌΠ΅ΠΆΠ΄Ρ Π·Π΅Π»Π΅Π½ΡΠΌ Π΄ΠΎΠΌΠΎΠΌ ΠΈ Π΄Π΅ΡΡΠΊΠΎΠΉ ΠΏΠ»ΠΎΡΠ°Π΄ΠΊΠΎΠΉ Π½Π°Π»Π΅Π²ΠΎ Π±Π΅Π»Π°Ρ Π΄Π²Π΅ΡΡ, Π·Π²ΠΎΠ½ΠΈΠΌ Π² Π·Π²ΠΎΠ½ΠΎΠΊ.
ΠΠ°ΡΠΈΠ΅Π½ΡΠ°ΠΌ ΠΠ»ΠΈΠ½ΠΈΠΊΠΈ ΠΠ΄ΠΎΡΠΎΠ²ΡΡ ΠΏΡΠ΅Π΄ΠΎΡΡΠ°Π²Π»ΡΠ΅ΡΡΡ Π±Π΅ΡΠΏΠ»Π°ΡΠ½Π°Ρ ΠΏΠ°ΡΠΊΠΎΠ²ΠΊΠ°. ΠΡΠΎΠ½ΠΈΡΠΎΠ²Π°Π½ΠΈΠ΅ ΠΌΠ΅ΡΡΠ° Π΄Π»Ρ Π°Π²ΡΠΎΠΌΠΎΠ±ΠΈΠ»Ρ ΠΏΡΠΎΠΈΠ·Π²ΠΎΠ΄ΠΈΡΡΡ Π½Π΅ ΠΏΠΎΠ·Π΄Π½Π΅Π΅ ΡΠ΅ΠΌ Π·Π° ΡΠ°Ρ Π΄ΠΎ ΠΏΡΠΈΠ±ΡΡΠΈΡ Π² ΠΊΠ»ΠΈΠ½ΠΈΠΊΡ. ΠΠ²ΠΎΠ½ΠΈΡΠ΅: +7 (495) 961-27-67
Π§ΡΠΎ Π½Π΅ΠΎΠ±Ρ ΠΎΠ΄ΠΈΠΌΠΎ ΠΈΠΌΠ΅ΡΡ Ρ ΡΠΎΠ±ΠΎΠΉ Π½Π° Π΄ΠΈΠ°Π³Π½ΠΎΡΡΠΈΠΊΠ΅
ΠΠ°ΠΊ ΡΠ°ΡΡΠΎ ΠΌΠΎΠΆΠ½ΠΎ Π΄Π΅Π»Π°ΡΡ ΠΠ’
Π Π΅ΠΊΠΎΠΌΠ΅Π½Π΄ΡΠ΅ΠΌΠΎΠ΅ ΠΊΠΎΠ»ΠΈΡΠ΅ΡΡΠ²ΠΎ ΡΠ°ΡΡΠΎΡ ΠΏΡΠΎΠ²Π΅Π΄Π΅Π½ΠΈΡ ΠΊΠΎΠΌΠΏΡΡΡΠ΅ΡΠ½ΠΎΠΉ ΡΠΎΠΌΠΎΠ³ΡΠ°ΡΠΈΠΈ Π±Π΅Π· Π²ΡΠ΅Π΄Π° Π΄Π»Ρ Π·Π΄ΠΎΡΠΎΠ²ΡΡ β 2 ΡΠ°Π·Π° Π² ΠΌΠ΅ΡΡΡ. ΠΡΠΈ ΡΡΠΎΠΌ ΠΎΠ±ΡΠ΅Π΅ ΠΊΠΎΠ»ΠΈΡΠ΅ΡΡΠ²ΠΎ ΡΠ΄Π΅Π»Π°Π½Π½ΡΡ Π·Π° Π³ΠΎΠ΄ ΠΏΡΠΎΡΠ΅Π΄ΡΡ Π½Π΅ ΡΠ΅ΠΊΠΎΠΌΠ΅Π½Π΄ΡΠ΅ΡΡΡ ΠΏΡΠ΅Π²ΡΡΠ°ΡΡ 5.
ΠΡΠ»ΠΈΡΠΈΠ΅ ΠΠ’ ΠΎΡ ΡΠ΅Π½ΡΠ³Π΅Π½Π° ΠΈ ΠΠ Π’
Π ΠΎΡΠ»ΠΈΡΠΈΠ΅ ΠΎΡ ΡΠ΅Π½ΡΠ³Π΅Π½ΠΎΠ³ΡΠ°ΡΠΈΠΈ, Π΄Π°ΡΡΠ΅ΠΉ Π΄Π²ΡΡ ΠΌΠ΅ΡΠ½ΠΎΠ΅ ΠΈΠ·ΠΎΠ±ΡΠ°ΠΆΠ΅Π½ΠΈΠ΅, ΠΊΠΎΠΌΠΏΡΡΡΠ΅ΡΠ½Π°Ρ ΡΠΎΠΌΠΎΠ³ΡΠ°ΡΠΈΡ ΠΏΠΎΠ·Π²ΠΎΠ»ΡΡ ΠΏΠΎΠ»ΡΡΠΈΡΡ ΡΡΠ΅Ρ ΠΌΠ΅ΡΠ½ΡΠΉ ΡΠ½ΠΈΠΌΠΎΠΊ (3D). ΠΡΠΎ Π΄Π°Π΅Ρ Π²ΠΎΠ·ΠΌΠΎΠΆΠ½ΠΎΡΡΡ ΡΠΏΠ΅ΡΠΈΠ°Π»ΠΈΡΡΠ°ΠΌ ΠΏΠΎΡΡΠ°Π²ΠΈΡΡ Π΄ΠΈΠ°Π³Π½ΠΎΠ· Ρ Π²ΡΡΠΎΠΊΠΎΠΉ ΡΠΎΡΠ½ΠΎΡΡΡΡ.
ΠΡΠ»ΠΈΡΠΈΠ΅ ΠΠ’ ΠΎΡ ΠΠ Π’ ΡΠΎΡΡΠΎΠΈΡ Π² ΠΈΡΠΏΠΎΠ»ΡΠ·ΠΎΠ²Π°Π½ΠΈΠΈ Π²ΠΎΠ»Π½ ΡΠ°Π·Π»ΠΈΡΠ½ΠΎΠ³ΠΎ ΠΏΡΠΎΠΈΡΡ ΠΎΠΆΠ΄Π΅Π½ΠΈΡ. ΠΠ±ΠΎΡΡΠ΄ΠΎΠ²Π°Π½ΠΈΠ΅ ΠΠ Π’ ΡΡΠ½ΠΊΡΠΈΠΎΠ½ΠΈΡΡΠ΅Ρ Π½Π° ΡΠ»Π΅ΠΊΡΡΠΎΠΌΠ°Π³Π½ΠΈΡΠ½ΡΡ Π²ΠΎΠ»Π½Π°Ρ , Π² ΡΠΎ Π²ΡΠ΅ΠΌΡ ΠΊΠ°ΠΊ ΠΊΠΎΠΌΠΏΡΡΡΠ΅ΡΠ½ΡΠΉ ΡΠΎΠΌΠΎΠ³ΡΠ°Ρ β Π½Π° ΡΠ΅Π½ΡΠ³Π΅Π½ΠΎΠ²ΡΠΊΠΎΠΌ ΠΈΠ·Π»ΡΡΠ΅Π½ΠΈΠΈ. ΠΠΎΡΡΠΎΠΌΡ ΠΏΡΠΎΡΠ΅Π΄ΡΡΡ ΠΠ’ ΠΈ ΠΠ Π’ ΠΈΠΌΠ΅ΡΡ Π½Π΅ΠΎΠ΄ΠΈΠ½Π°ΠΊΠΎΠ²ΡΠ΅ ΠΏΠΎΠΊΠ°Π·Π°Π½ΠΈΡ ΠΈ ΠΏΡΠΎΡΠΈΠ²ΠΎΠΏΠΎΠΊΠ°Π·Π°Π½ΠΈΡ.
Π¦Π΅Π½Π° ΠΠ’ ΠΏΠΎΡΠ΅ΠΊ, ΠΌΠΎΡΠ΅ΡΠΎΡΠ½ΠΈΠΊΠΎΠ²
Π‘ΡΠΎΠΈΠΌΠΎΡΡΡ ΠΠ’ ΠΏΠΎΡΠ΅ΠΊ ΠΈ ΠΌΠΎΡΠ΅ΡΠΎΡΠ½ΠΈΠΊΠΎΠ² Π² Π½Π°ΡΠ΅ΠΉ ΠΊΠ»ΠΈΠ½ΠΈΠΊΠ΅ Π²ΠΏΠΎΠ»Π½Π΅ Π΄ΠΎΡΡΡΠΏΠ½Π° Π»ΡΠ±ΠΎΠΉ ΠΊΠ°ΡΠ΅Π³ΠΎΡΠΈΠΈ ΠΏΠ°ΡΠΈΠ΅Π½ΡΠΎΠ².
ΠΠ’ ΠΏΠΎΡΠ΅ΠΊ, ΠΌΠΎΡΠ΅ΡΠΎΡΠ½ΠΈΠΊΠΎΠ², ΠΌΠΎΡΠ΅Π²ΠΎΠ³ΠΎ ΠΏΡΠ·ΡΡΡ Ρ Π±ΠΎΠ»ΡΡΠ½ΡΠΌ ΠΊΠΎΠ½ΡΡΠ°ΡΡΠΈΡΠΎΠ²Π°Π½ΠΈΠ΅ΠΌ
ΠΠ»ΠΈΡΠ΅Π»ΡΠ½ΠΎΡΡΡ ΠΈΡΡΠ»Π΅Π΄ΠΎΠ²Π°Π½ΠΈΡ: 10 ΠΌΠΈΠ½.
ΠΠΎΠ΄Π³ΠΎΡΠΎΠ²ΠΊΠ° ΠΊ ΠΈΡΡΠ»Π΅Π΄ΠΎΠ²Π°Π½ΠΈΡ: Π΅ΡΡΡ
ΠΠΎΠ΄Π³ΠΎΡΠΎΠ²ΠΊΠ° Π·Π°ΠΊΠ»ΡΡΠ΅Π½ΠΈΡ: 180 ΠΌΠΈΠ½.
ΠΠ³ΡΠ°Π½ΠΈΡΠ΅Π½ΠΈΡ: ΠΠ΅Ρ ΠΏΠ°ΡΠΈΠ΅Π½ΡΠ° Π±ΠΎΠ»Π΅Π΅ 130 ΠΊΠ³.
ΠΠ΅ΡΠΎΠ΄Ρ Π΄ΠΈΠ°Π³Π½ΠΎΡΡΠΈΠΊΠΈ, ΠΏΠΎΠ·Π²ΠΎΠ»ΡΡΡΠΈΠ΅ Π·Π° Π½Π΅Π±ΠΎΠ»ΡΡΠΎΠΉ ΠΏΡΠΎΠΌΠ΅ΠΆΡΡΠΎΠΊ Π²ΡΠ΅ΠΌΠ΅Π½ΠΈ ΠΏΠΎΠ»ΡΡΠΈΡΡ ΠΌΠ°ΠΊΡΠΈΠΌΠ°Π»ΡΠ½ΡΠΉ ΠΎΠ±ΡΠ΅ΠΌ ΠΈΠ½ΡΠΎΡΠΌΠ°ΡΠΈΠΈ, Π²ΡΡΠΎΠΊΠΎ ΡΠ΅Π½ΡΡΡΡ Π² ΡΠΎΠ²ΡΠ΅ΠΌΠ΅Π½Π½ΠΎΠΉ ΠΌΠ΅Π΄ΠΈΡΠΈΠ½Π΅. Π ΠΎΡΠΎΠ±Π΅Π½Π½ΠΎΡΡΠΈ ΡΠ°ΠΊΠΈΠ΅ Ρ Π°ΡΠ°ΠΊΡΠ΅ΡΠΈΡΡΠΈΠΊΠΈ Π²Π°ΠΆΠ½Ρ ΠΏΡΠΈ Π²ΡΡΠ²Π»Π΅Π½ΠΈΠΈ Π·Π°Π±ΠΎΠ»Π΅Π²Π°Π½ΠΈΠΉ, ΠΏΡΠΎΡΠ΅ΠΊΠ°ΡΡΠΈΡ Π±Π΅Π· ΡΡΠΊΠΎΠΉ ΠΊΠ»ΠΈΠ½ΠΈΡΠ΅ΡΠΊΠΎΠΉ ΠΊΠ°ΡΡΠΈΠ½Ρ. Π’Π°ΠΊ, ΠΊ ΠΏΡΠΈΠΌΠ΅ΡΡ, ΠΠ’ ΠΎΡΠ³Π°Π½ΠΎΠ² ΠΌΠΎΡΠ΅Π²ΡΠ΄Π΅Π»ΠΈΡΠ΅Π»ΡΠ½ΠΎΠΉ ΡΠΈΡΡΠ΅ΠΌΡ Π΄Π΅Π»Π°Π΅Ρ Π²ΠΎΠ·ΠΌΠΎΠΆΠ½ΡΠΌ Π·Π° ΠΎΠ΄ΠΈΠ½ ΡΠ΅Π°Π½Ρ Π΄Π°ΡΡ ΠΎΡΠ΅Π½ΠΊΡ ΡΡΠ΅ΠΏΠ΅Π½ΠΈ ΠΈΡ ΠΏΠ°ΡΠΎΠ»ΠΎΠ³ΠΈΡΠ΅ΡΠΊΠΈΡ ΠΈΠ·ΠΌΠ΅Π½Π΅Π½ΠΈΠΉ.
Π§ΡΠΎ ΡΠ°ΠΊΠΎΠ΅ ΠΠ’
ΠΠΎΠΌΠΏΡΡΡΠ΅ΡΠ½Π°Ρ ΡΠΎΠΌΠΎΠ³ΡΠ°ΡΠΈΡ β ΡΡΠΎ ΠΌΠ΅ΡΠΎΠ΄ ΠΌΠ΅Π΄ΠΈΡΠΈΠ½ΡΠΊΠΎΠ³ΠΎ ΠΈΡΡΠ»Π΅Π΄ΠΎΠ²Π°Π½ΠΈΡ, ΠΎΡΠ½ΠΎΠ²Π°Π½Π½ΡΠΉ Π½Π° ΠΏΡΠΈΠΌΠ΅Π½Π΅Π½ΠΈΠΈ ΡΠ΅Π½ΡΠ³Π΅Π½ΠΎΠ²ΡΠΊΠΎΠ³ΠΎ ΠΈΠ·Π»ΡΡΠ΅Π½ΠΈΡ. Π ΠΏΡΠΎΡΠ΅ΡΡΠ΅ ΠΏΡΠΎΡ ΠΎΠΆΠ΄Π΅Π½ΠΈΡ Π»ΡΡΠ΅ΠΉ ΡΠ΅Π½ΡΠ³Π΅Π½Π° ΡΠΊΠ²ΠΎΠ·Ρ ΡΠ΅Π»ΠΎ ΠΏΠ°ΡΠΈΠ΅Π½ΡΠ° ΠΊΠΎΠΌΠΏΡΡΡΠ΅ΡΠ½ΠΎΠΉ ΡΠΈΡΡΠ΅ΠΌΠΎΠΉ ΡΠΎΠ·Π΄Π°Π΅ΡΡΡ ΠΈΠ·ΠΎΠ±ΡΠ°ΠΆΠ΅Π½ΠΈΠ΅ (ΡΠΎΠΌΠΎΠ³ΡΠ°ΠΌΠΌΠ°) ΠΏΡΠΎΠ΄ΠΎΠ»ΡΠ½ΡΡ ΠΈ ΠΏΠΎΠΏΠ΅ΡΠ΅ΡΠ½ΡΡ ΡΡΠ΅Π·ΠΎΠ².
ΠΠ’ Ρ Π±ΠΎΠ»ΡΡΠ½ΡΠΌ ΠΊΠΎΠ½ΡΡΠ°ΡΡΠΈΡΠΎΠ²Π°Π½ΠΈΠ΅ΠΌ ΠΏΡΠ΅Π΄ΡΡΠ°Π²Π»ΡΠ΅Ρ ΡΠΎΠ±ΠΎΠΉ Π²Π½ΡΡΡΠΈΠ²Π΅Π½Π½ΠΎΠ΅ Π²Π²Π΅Π΄Π΅Π½ΠΈΠ΅ ΠΆΠΈΠ΄ΠΊΠΎΠ³ΠΎ Π²Π΅ΡΠ΅ΡΡΠ²Π° Π½Π° ΠΎΡΠ½ΠΎΠ²Π΅ ΠΉΠΎΠ΄Π°. ΠΠΎΠ½ΡΡΠ°ΡΡΠ½ΠΎΠ΅ Π²Π΅ΡΠ΅ΡΡΠ²ΠΎ ΠΏΠΎΠ·Π²ΠΎΠ»ΡΠ΅Ρ ΡΠ΅ΡΠΊΠΎ ΡΠ²ΠΈΠ΄Π΅ΡΡ ΠΌΠ°Π»Π΅ΠΉΡΠΈΠ΅ ΠΏΠ°ΡΠΎΠ»ΠΎΠ³ΠΈΠΈ ΠΈ ΡΡΡΠ°Π½ΠΎΠ²ΠΈΡΡ ΠΈΡ ΡΠΎΡΠ½ΠΎΠ΅ ΠΏΠΎΠ»ΠΎΠΆΠ΅Π½ΠΈΠ΅.
Π§ΡΠΎ ΠΏΠΎΠΊΠ°Π·ΡΠ²Π°Π΅Ρ
ΠΠΎΠΌΠΏΡΡΡΠ΅ΡΠ½Π°Ρ ΡΠΎΠΌΠΎΠ³ΡΠ°ΡΠΈΡ ΠΌΠΎΡΠ΅Π²ΡΠ΄Π΅Π»ΠΈΡΠ΅Π»ΡΠ½ΠΎΠΉ ΡΠΈΡΡΠ΅ΠΌΡ ΠΏΠΎΠ·Π²ΠΎΠ»ΡΠ΅Ρ ΠΎΠ΄Π½ΠΎΠ²ΡΠ΅ΠΌΠ΅Π½Π½ΠΎ ΠΎΡΠ΅Π½ΠΈΡΡ ΡΠΎΡΡΠΎΡΠ½ΠΈΠ΅ Π½Π΅ΡΠΊΠΎΠ»ΡΠΊΠΈΡ ΠΎΡΠ³Π°Π½ΠΎΠ², ΡΠ°ΠΊΠΈΡ ΠΊΠ°ΠΊ:
ΠΠΎΠΌΠΈΠΌΠΎ ΡΡΠΎΠ³ΠΎ Π½Π° ΡΠ½ΠΈΠΌΠΊΠ΅ Ρ ΠΎΡΠΎΡΠΎ ΠΎΠΏΡΠ΅Π΄Π΅Π»ΡΡΡΡΡ ΠΏΠ΅ΡΠ»ΠΈ ΠΊΠΈΡΠ΅ΡΠ½ΠΈΠΊΠ° ΠΈ ΠΏΠΎΡΡΠ½ΠΈΡΠ½ΡΠ΅ ΠΏΠΎΠ·Π²ΠΎΠ½ΠΊΠΈ. ΠΠ° ΠΎΡΠ½ΠΎΠ²Π°Π½ΠΈΠΈ ΡΠΎΠΌΠΎΠ³ΡΠ°ΠΌΠΌΡ ΡΠΏΠ΅ΡΠΈΠ°Π»ΠΈΡΡΡ Π΄Π΅Π»Π°ΡΡ Π·Π°ΠΊΠ»ΡΡΠ΅Π½ΠΈΠ΅ ΠΎ ΡΠ°ΡΠΏΠΎΠ»ΠΎΠΆΠ΅Π½ΠΈΠΈ ΠΈ ΡΠ°Π·ΠΌΠ΅ΡΠ°Ρ ΠΎΡΠ³Π°Π½ΠΎΠ², Π½Π°Π»ΠΈΡΠΈΠΈ ΠΊΠ°ΠΌΠ½Π΅ΠΉ, ΠΎΠΏΡΡ ΠΎΠ»Π΅ΠΉ ΠΈ ΡΡΠ°Π²ΠΌ.
ΠΠΎΠΊΠ°Π·Π°Π½ΠΈΡ ΠΊ ΠΠ’ ΠΏΠΎΡΠ΅ΠΊ, ΠΌΠΎΡΠ΅ΡΠΎΡΠ½ΠΈΠΊΠΎΠ², ΠΌΠΎΡΠ΅Π²ΠΎΠ³ΠΎ ΠΏΡΠ·ΡΡΡ Ρ Π±ΠΎΠ»ΡΡΠΎΠΌ
ΠΠΎΠΌΠΏΡΡΡΠ΅ΡΠ½Π°Ρ ΡΠΎΠΌΠΎΠ³ΡΠ°ΡΠΈΡ ΠΌΠΎΡΠ΅Π²ΡΠ΄Π΅Π»ΠΈΡΠ΅Π»ΡΠ½ΠΎΠΉ ΡΠΈΡΡΠ΅ΠΌΡ ΠΏΠΎΠ½Π°Π΄ΠΎΠ±ΠΈΡΡΡ Π² ΡΠ»Π΅Π΄ΡΡΡΠΈΡ ΡΠ»ΡΡΠ°ΡΡ :
ΠΠΎΠ΄Π³ΠΎΡΠΎΠ²ΠΊΠ° ΠΊ ΠΠ’
Π§ΡΠΎΠ±Ρ ΠΏΠΎΠ»ΡΡΠΈΡΡ ΠΌΠ°ΠΊΡΠΈΠΌΠ°Π»ΡΠ½ΠΎ ΡΠΎΡΠ½ΡΠΉ ΡΠ΅Π·ΡΠ»ΡΡΠ°Ρ, ΠΠ’ ΠΏΡΠΎΠ²ΠΎΠ΄ΡΡ Π½Π° ΠΏΠΎΠ»Π½ΡΠΉ ΠΌΠΎΡΠ΅Π²ΠΎΠΉ ΠΏΡΠ·ΡΡΡ. ΠΠ»Ρ ΡΡΠΎΠ³ΠΎ Π·Π° 2 ΡΠ°ΡΠ° Π΄ΠΎ ΠΏΡΠΎΡΠ΅Π΄ΡΡΡ ΠΏΠ°ΡΠΈΠ΅Π½ΡΡ Π½Π΅ΠΎΠ±Ρ ΠΎΠ΄ΠΈΠΌΠΎ Π²ΡΠΏΠΈΡΡ ΡΡΠ°ΠΊΠ°Π½ Π²ΠΎΠ΄Ρ ΠΈ Π½Π΅ ΠΏΠΎΡΠ΅ΡΠ°ΡΡ ΡΡΠ°Π»Π΅Ρ, Π° Π·Π° 4 ΡΠ°ΡΠ° ΠΏΡΠ΅ΠΊΡΠ°ΡΠΈΡΡ ΠΏΡΠΈΠ΅ΠΌ ΠΏΠΈΡΠΈ. ΠΠ° 3 Π΄Π½Ρ Π΄ΠΎ ΠΎΠ±ΡΠ»Π΅Π΄ΠΎΠ²Π°Π½ΠΈΡ ΡΠ΅ΠΊΠΎΠΌΠ΅Π½Π΄ΠΎΠ²Π°Π½ΠΎ ΠΎΠ³ΡΠ°Π½ΠΈΡΠ΅Π½ΠΈΠ΅ Π² ΠΏΠΈΡΠ°Π½ΠΈΠΈ, ΠΏΠΎΠ΄ΡΠ°Π·ΡΠΌΠ΅Π²Π°ΡΡΠ΅Π΅ ΠΈΡΠΊΠ»ΡΡΠ΅Π½ΠΈΠ΅ ΠΈΠ· ΡΠ°ΡΠΈΠΎΠ½Π° ΠΎΡΡΡΡΡ , ΡΠΎΠ»Π΅Π½ΡΡ ΠΈ ΠΆΠΈΡΠ½ΡΡ ΠΏΡΠΎΠ΄ΡΠΊΡΠΎΠ².
ΠΠ°ΠΆΠ½ΠΎ! ΠΡΠΈ ΠΈΡΠΏΠΎΠ»ΡΠ·ΠΎΠ²Π°Π½ΠΈΠΈ ΠΊΠΎΠ½ΡΡΠ°ΡΡΠ° ΠΏΠΎΡΡΠ΅Π±ΡΠ΅ΡΡΡ Π°ΠΊΡΡΠ°Π»ΡΠ½ΡΠΉ (ΡΠ΄Π΅Π»Π°Π½Π½ΡΠΉ Π² ΡΠ΅ΡΠ΅Π½ΠΈΠ΅ 10 Π΄Π½Π΅ΠΉ) Π°Π½Π°Π»ΠΈΠ· ΠΊΡΠΎΠ²ΠΈ Π½Π° ΠΊΡΠ΅Π°ΡΠΈΠ½ΠΈΠ½, ΠΏΠΎΠ·Π²ΠΎΠ»ΡΡΡΠΈΠΉ Π΄Π°ΡΡ ΠΏΡΠ΅Π΄Π²Π°ΡΠΈΡΠ΅Π»ΡΠ½ΡΡ ΠΎΡΠ΅Π½ΠΊΡ ΡΠΎΡΡΠΎΡΠ½ΠΈΡ ΠΏΠΎΡΠ΅ΠΊ.
Π ΠΎΠ»ΡΡΠ½ΡΠΉ ΠΌΠ΅ΡΠΎΠ΄ β Π²Π²Π΅Π΄Π΅Π½ΠΈΠ΅ ΠΊΠΎΠ½ΡΡΠ°ΡΡΠ½ΠΎΠ³ΠΎ Π²Π΅ΡΠ΅ΡΡΠ²Π°, ΠΏΠΎΠ·Π²ΠΎΠ»ΡΡΡΠ΅Π΅ ΠΈΡΡΠ»Π΅Π΄ΠΎΠ²Π°ΡΡ ΡΠΎΡΡΠ΄Ρ ΠΈ ΠΎΡΠ³Π°Π½Ρ Π² ΠΌΠΎΠΌΠ΅Π½Ρ ΠΌΠ°ΠΊΡΠΈΠΌΠ°Π»ΡΠ½ΠΎΠ³ΠΎ Π½Π°ΠΊΠΎΠΏΠ»Π΅Π½ΠΈΡ ΠΊΠΎΠ½ΡΡΠ°ΡΡΠ½ΠΎΠ³ΠΎ Π²Π΅ΡΠ΅ΡΡΠ²Π°. ΠΡΠΎΠ²ΠΎΠ΄ΡΡΡΡ ΠΏΠΎΠ΄ ΠΊΠΎΠ½ΡΡΠΎΠ»Π΅ΠΌ Π²ΡΠ°ΡΠ°-Π°Π½Π΅ΡΡΠ΅Π·ΠΈΠΎΠ»ΠΎΠ³Π°. ΠΠ΅ΡΠ΅Π΄ ΠΈΡΡΠ»Π΅Π΄ΠΎΠ²Π°Π½ΠΈΡΠΌΠΈ Π½Π΅ΠΎΠ±Ρ ΠΎΠ΄ΠΈΠΌ Π°Π½Π°Π»ΠΈΠ· ΠΊΡΠΎΠ²ΠΈ Π½Π° Π±ΠΈΠΎΡ ΠΈΠΌΠΈΡ
ΠΠ΄Π΅ ΡΠ΄Π΅Π»Π°ΡΡ ΠΠ’ ΠΏΠΎΡΠ΅ΠΊ, ΠΌΠΎΡΠ΅ΡΠΎΡΠ½ΠΈΠΊΠΎΠ², ΠΌΠΎΡΠ΅Π²ΠΎΠ³ΠΎ ΠΏΡΠ·ΡΡΡ Ρ Π±ΠΎΠ»ΡΡΠΎΠΌ
ΠΡΠΎΡΠ΅Π΄ΡΡΡ ΠΠ’ ΠΌΠΎΠΆΠ½ΠΎ ΠΏΡΠΎΠΉΡΠΈ Π½Π΅ Π²ΠΎ Π²ΡΠ΅Ρ ΠΌΠ΅Π΄ΠΈΡΠΈΠ½ΡΠΊΠΈΡ ΡΡΡΠ΅ΠΆΠ΄Π΅Π½ΠΈΡΡ . ΠΡΠΈ Π²ΡΠ±ΠΎΡΠ΅ ΠΏΠΎΠ΄Ρ ΠΎΠ΄ΡΡΠ΅Π³ΠΎ Π²Π°ΡΠΈΠ°Π½ΡΠ° Π»ΡΡΡΠ΅ Π²ΡΠ΅Π³ΠΎ ΠΎΡΠ΄Π°Π²Π°ΡΡ ΠΏΡΠ΅Π΄ΠΏΠΎΡΡΠ΅Π½ΠΈΠ΅ ΠΊΠ»ΠΈΠ½ΠΈΠΊΠ°ΠΌ, ΠΎΡΠ½Π°ΡΠ΅Π½Π½ΡΠΌ ΠΊΠ°ΡΠ΅ΡΡΠ²Π΅Π½Π½ΡΠΌ ΡΠΎΠ²ΡΠ΅ΠΌΠ΅Π½Π½ΡΠΌ ΠΎΠ±ΠΎΡΡΠ΄ΠΎΠ²Π°Π½ΠΈΠ΅ΠΌ. Π’Π°ΠΊ, ΠΊ ΠΏΡΠΈΠΌΠ΅ΡΡ, Π² Π΄ΠΈΠ°Π³Π½ΠΎΡΡΠΈΡΠ΅ΡΠΊΠΎΠΌ ΡΠ΅Π½ΡΡΠ΅ Β«ΠΠ»ΠΈΠ½ΠΈΠΊΠ° ΠΠ΄ΠΎΡΠΎΠ²ΡΡΒ» ΠΈΡΡΠ»Π΅Π΄ΠΎΠ²Π°Π½ΠΈΠ΅ ΠΏΡΠΎΠ²ΠΎΠ΄ΡΡ Π½Π° ΡΠΎΠΌΠΎΠ³ΡΠ°ΡΠ΅, Π²ΡΠΏΡΡΠ΅Π½Π½ΡΠΌ Π½ΠΈΠ΄Π΅ΡΠ»Π°Π½Π΄ΡΠΊΠΈΠΌ ΠΏΡΠΎΠΈΠ·Π²ΠΎΠ΄ΠΈΡΠ΅Π»Π΅ΠΌ ΠΈ ΠΈΠΌΠ΅ΡΡΠΈΠΌ ΡΡΠ΄ ΠΏΡΠ΅ΠΈΠΌΡΡΠ΅ΡΡΠ²:
Π’ΠΎΡΠ½ΡΠΉ Π°Π΄ΡΠ΅Ρ: ΠΠΎΡΠΊΠ²Π°, ΠΠΎΠ΄ΡΠΎΡΠ΅Π½ΡΠΊΠΈΠΉ ΠΏΠ΅ΡΠ΅ΡΠ»ΠΎΠΊ, Π΄. 17.
ΠΠ΅ΡΠΎΠ΄ΠΈΠΊΠ° ΠΏΡΠΎΠ²Π΅Π΄Π΅Π½ΠΈΡ
ΠΡΡΠ»Π΅Π΄ΠΎΠ²Π°Π½ΠΈΠ΅ ΠΏΡΠΎΠ²ΠΎΠ΄ΡΡ ΠΏΠΎ ΡΠ»Π΅Π΄ΡΡΡΠ΅ΠΌΡ Π°Π»Π³ΠΎΡΠΈΡΠΌΡ:
ΠΡΡΠ»Π΅Π΄ΠΎΠ²Π°Π½ΠΈΠ΅ Π΄Π»ΠΈΡΡΡ ΠΎΡ 10 ΠΌΠΈΠ½ΡΡ Π΄ΠΎ ΠΏΠΎΠ»ΡΡΠ°ΡΠ°. ΠΡΠ΅ ΡΠ°Ρ Π·Π°Π½ΠΈΠΌΠ°Π΅Ρ ΠΏΠΎΠ΄Π³ΠΎΡΠΎΠ²ΠΊΠ° ΠΎΠΏΠΈΡΠ°Π½ΠΈΡ. ΠΡΠ»ΠΈ Π½Π΅Ρ Π²ΡΠ΅ΠΌΠ΅Π½ΠΈ Π½Π° ΠΎΠΆΠΈΠ΄Π°Π½ΠΈΠ΅, ΠΌΠΎΠΆΠ½ΠΎ ΠΏΠΎΠ»ΡΡΠΈΡΡ ΠΎΠΏΠΈΡΠ°Π½ΠΈΡ Π½Π° ΡΠ²ΠΎΡ ΡΠ»Π΅ΠΊΡΡΠΎΠ½Π½ΡΡ ΠΏΠΎΡΡΡ.
ΠΠΎΠ·ΠΌΠΎΠΆΠ΅Π½ ΠΏΠ΅ΡΠ΅Π²ΠΎΠ΄ ΠΎΠΏΠΈΡΠ°Π½ΠΈΡ Π½Π° Π°Π½Π³Π»ΠΈΠΉΡΠΊΠΈΠΉ ΡΠ·ΡΠΊ Π·Π° Π΄ΠΎΠΏΠΎΠ»Π½ΠΈΡΠ΅Π»ΡΠ½ΡΡ ΠΏΠ»Π°ΡΡ.
ΠΠΎ Π²ΡΠ΅ΠΌΡ ΠΏΡΠΎΡΠ΅Π΄ΡΡΡ ΠΏΠ°ΡΠΈΠ΅Π½Ρ Π»Π΅ΠΆΠΈΡ Π½Π° ΡΠΏΠ΅ΡΠΈΠ°Π»ΡΠ½ΠΎΠΉ, ΠΏΠΎΠΌΠ΅ΡΠ΅Π½Π½ΠΎΠΉ Π² ΡΠΎΠ½Π½Π΅Π»Ρ ΡΠΎ ΡΠΊΠ°Π½Π΅ΡΠΎΠΌ, ΠΏΠ»Π°ΡΡΠΎΡΠΌΠ΅. Π’ΠΎΠΌΠΎΠ³ΡΠ°Ρ ΡΠΊΠ°Π½ΠΈΡΡΠ΅Ρ Π½ΡΠΆΠ½ΡΡ ΠΎΠ±Π»Π°ΡΡΡ.
ΠΠ΅Π΄ΠΈΡΠΈΠ½ΡΠΊΠΈΠΉ ΠΏΠ΅ΡΡΠΎΠ½Π°Π» Π²ΠΎ Π²ΡΠ΅ΠΌΡ ΠΏΡΠΎΡΠ΅Π΄ΡΡΡ Π½Π°Ρ ΠΎΠ΄ΠΈΡΡΡ Π² ΠΏΡΠΈΠ»Π΅Π³Π°ΡΡΠ΅ΠΌ ΠΏΠΎΠΌΠ΅ΡΠ΅Π½ΠΈΠΈ Π²ΠΎ ΠΈΠ·Π±Π΅ΠΆΠ°Π½ΠΈΠ΅ ΠΎΠ±Π»ΡΡΠ΅Π½ΠΈΡ.
ΠΡΠΎΡΠΈΠ²ΠΎΠΏΠΎΠΊΠ°Π·Π°Π½ΠΈΡ
ΠΠΎΠΌΠΏΡΡΡΠ΅ΡΠ½Π°Ρ ΡΠΎΠΌΠΎΠ³ΡΠ°ΡΠΈΡ Π½Π΅ ΠΏΡΠΎΠ²ΠΎΠ΄ΠΈΡΡΡ:
Π ΠΎΡΡΠ°Π»ΡΠ½ΡΡ ΡΠ»ΡΡΠ°ΡΡ ΠΏΡΠΎΡΠ΅Π΄ΡΡΠ° ΠΠ’ Π½Π΅ Π²ΡΠ·ΡΠ²Π°Π΅Ρ ΠΎΡΡΡΠ΅Π½ΠΈΠΉ Π΄ΠΈΡΠΊΠΎΠΌΡΠΎΡΡΠ° ΠΈ Π½Π΅ ΠΈΠΌΠ΅Π΅Ρ ΠΏΠΎΠ±ΠΎΡΠ½ΡΡ ΡΡΡΠ΅ΠΊΡΠΎΠ².
Π§ΡΠΎ Π½Π΅ΠΎΠ±Ρ ΠΎΠ΄ΠΈΠΌΠΎ ΠΈΠΌΠ΅ΡΡ Ρ ΡΠΎΠ±ΠΎΠΉ Π½Π° Π΄ΠΈΠ°Π³Π½ΠΎΡΡΠΈΠΊΠ΅
ΠΠ°ΠΊ ΡΠ°ΡΡΠΎ ΠΌΠΎΠΆΠ½ΠΎ Π΄Π΅Π»Π°ΡΡ ΠΠ’
ΠΠ΅ ΡΠ°ΡΠ΅ 1-2 ΡΠ°Π·Π° Π² Π³ΠΎΠ΄, Π½ΠΎ ΠΏΠΎΠΊΠ°Π·Π°Π½ΠΈΡΠΌ Π΄Π΅Π»Π°Π΅ΡΡΡ ΡΠ°ΡΠ΅.
ΠΡΠ»ΠΈΡΠΈΠ΅ ΠΠ’ ΠΎΡ ΡΠ΅Π½ΡΠ³Π΅Π½Π°
Π Π΅Π½ΡΠ³Π΅Π½ Π΄Π΅Π»Π°Π΅Ρ Π²ΠΎΠ·ΠΌΠΎΠΆΠ½ΡΠΌ ΠΏΠΎΠ»ΡΡΠ΅Π½ΠΈΠ΅ ΠΈΠ·ΠΎΠ±ΡΠ°ΠΆΠ΅Π½ΠΈΡ Π²Π½ΡΡΡΠ΅Π½Π½ΠΈΡ ΠΎΡΠ³Π°Π½ΠΎΠ² Π² ΠΎΠ΄Π½ΠΎΠΉ ΠΏΠ»ΠΎΡΠΊΠΎΡΡΠΈ, Π² ΡΠΎ Π²ΡΠ΅ΠΌΡ ΠΊΠ°ΠΊ ΠΠ’ β Π² Π½Π΅ΡΠΊΠΎΠ»ΡΠΊΠΈΡ , Π±Π»Π°Π³ΠΎΠ΄Π°ΡΡ ΡΠ΅ΠΌΡ ΡΠΎΡΠ½ΠΎΡΡΡ Π΄ΠΈΠ°Π³Π½ΠΎΡΡΠΈΠΊΠΈ ΠΏΠΎΠ²ΡΡΠ°Π΅ΡΡΡ Π² ΡΠ°Π·Ρ.
Π¦Π΅Π½Π° ΠΠ’ ΠΏΠΎΡΠ΅ΠΊ, ΠΌΠΎΡΠ΅ΡΠΎΡΠ½ΠΈΠΊΠΎΠ², ΠΌΠΎΡΠ΅Π²ΠΎΠ³ΠΎ ΠΏΡΠ·ΡΡΡ Ρ Π±ΠΎΠ»ΡΡΠΎΠΌ
ΠΠ’ ΠΌΠΎΡΠ΅Π²ΡΠ΄Π΅Π»ΠΈΡΠ΅Π»ΡΠ½ΠΎΠΉ ΡΠΈΡΡΠ΅ΠΌΡ β ΠΎΠ΄ΠΈΠ½ ΠΈΠ· ΡΠ°ΠΌΡΡ ΡΠ°ΡΠΏΡΠΎΡΡΡΠ°Π½Π΅Π½Π½ΡΡ ΠΌΠ΅ΡΠΎΠ΄ΠΎΠ² Π²ΡΡΠ²Π»Π΅Π½ΠΈΡ Π·Π°Π±ΠΎΠ»Π΅Π²Π°Π½ΠΈΡ Π½Π° ΡΠ°Π½Π½Π΅ΠΉ ΡΠ°Π·Π΅ ΡΠ°Π·Π²ΠΈΡΠΈΡ, ΠΏΠΎΠ·Π²ΠΎΠ»ΡΡΡΠΈΠΉ ΡΠ²ΠΎΠ΅Π²ΡΠ΅ΠΌΠ΅Π½Π½ΠΎ ΠΏΡΠΈΡΡΡΠΏΠΈΡΡ ΠΊ ΡΠ΅ΡΠ°ΠΏΠΈΠΈ, Π² Π½Π°ΡΠ΅ΠΌ ΡΠ΅Π½ΡΡΠ΅ ΠΠ’ ΠΏΡΠΎΠ²ΠΎΠ΄ΠΈΡΡΡ ΠΏΠΎ Π΄ΠΎΡΡΡΠΏΠ½ΠΎΠΉ ΡΠ΅Π½Π΅.
ΠΠ’ ΠΏΠΎΡΠ΅ΠΊ
ΠΠ°ΡΠΈΠΌ
Π΄Π°ΡΠΈΠΌ Π΄ΠΎ 1000 ΡΡΠ±Π»Π΅ΠΉ Π½Π° ΠΠ’ ΠΏΠΎΡΠ΅ΠΊ
Π‘Π ΠΠΠΠΠΠΠ
ΠΠ΅Π΄ΠΈΡΠΈΠ½ΡΠΊΠΈΠΉ ΡΠ΅Π½ΡΡ Π ΡΠΌΡΠΈ
ΠΡΡΠ»Π΅Π΄ΡΠ΅ΠΌΡΠΉ ΠΎΡΠ³Π°Π½ β Π²ΡΠΏΠΎΠ»Π½ΡΠ΅Ρ Π²Π΅ΡΠΎΠΌΡΠ΅ ΠΆΠΈΠ·Π½Π΅Π½Π½ΠΎ Π²Π°ΠΆΠ½ΡΠ΅ ΠΏΡΠΎΡΠ΅ΡΡΡ Π² ΡΠ΅Π»Π΅ ΡΠ΅Π»ΠΎΠ²Π΅ΠΊΠ°. ΠΠΌΠ΅Π½Π½ΠΎ ΠΏΠΎΡΡΠΎΠΌΡ ΡΠ°ΠΌΡΠ΅ Π½Π΅Π·Π½Π°ΡΠΈΡΠ΅Π»ΡΠ½ΡΠ΅ Π½Π°ΡΡΡΠ΅Π½ΠΈΡ Π² Π΅Π³ΠΎ ΡΡΠ½ΠΊΡΠΈΠΎΠ½ΠΈΡΠΎΠ²Π°Π½ΠΈΠΈ, ΠΌΠΎΠ³ΡΡ ΡΠΏΡΠΎΠ²ΠΎΡΠΈΡΠΎΠ²Π°ΡΡ ΡΠ΅ΡΡΠ΅Π·Π½ΡΠ΅ ΠΏΠΎΡΠ»Π΅Π΄ΡΡΠ²ΠΈΡ ΠΈ Π·Π½Π°ΡΠΈΡΠ΅Π»ΡΠ½ΠΎ ΡΠ½ΠΈΠ·ΠΈΡΡ ΡΠΎΡΡΠΎΡΠ½ΠΈΠ΅ Π·Π΄ΠΎΡΠΎΠ²ΡΡ. ΠΠ° ΡΠ΅Π³ΠΎΠ΄Π½ΡΡΠ½ΠΈΠΉ ΠΌΠΎΠΌΠ΅Π½Ρ, ΠΌΠ΅Π΄ΠΈΡΠΈΠ½ΡΠΊΠ°Ρ ΡΡΠ΅ΡΠ° ΠΎΡΠ½Π°ΡΠ΅Π½Π° Π±ΠΎΠ»ΡΡΠΈΠΌ ΠΊΠΎΠ»ΠΈΡΠ΅ΡΡΠ²ΠΎΠΌ ΡΠ°Π·Π½ΠΎΠΎΠ±ΡΠ°Π·Π½ΡΡ ΠΏΡΠΈΠ±ΠΎΡΠΎΠ², ΠΏΠΎΠΌΠΎΠ³Π°ΡΡΠΈΡ Π² ΠΈΡΡΠ»Π΅Π΄ΠΎΠ²Π°Π½ΠΈΠΈ Π»ΡΠ±ΡΡ ΠΎΠ±Π»Π°ΡΡΠ΅ΠΉ ΡΠ΅Π»Π° Π½Π° Π½Π°Π»ΠΈΡΠΈΠ΅ Π°Π½ΠΎΠΌΠ°Π»ΡΠ½ΡΠΉ ΠΏΡΠΎΡΠ΅ΡΡΠΎΠ², Π΄Π°ΠΆΠ΅ Π½Π° Π½Π°ΡΠ°Π»ΡΠ½ΡΡ ΡΡΠ°ΠΏΠ°Ρ ΡΠ°Π·Π²ΠΈΡΠΈΡ. ΠΠΎΠ΄ΠΎΠ±Π½ΡΠ΅ Π΄Π΅ΠΉΡΡΠ²ΠΈΡ, ΠΏΠΎΠ·Π²ΠΎΠ»ΡΡΡ ΡΠ²ΠΎΠ΅Π²ΡΠ΅ΠΌΠ΅Π½Π½ΠΎ ΠΎΠ±Π½Π°ΡΡΠΆΠΈΡΡ ΠΏΡΠΎΠ±Π»Π΅ΠΌΡ ΠΈ Π½Π°Π·Π½Π°ΡΠΈΡΡ ΠΊΠΎΡΡΠ΅ΠΊΡΠ½ΡΠΉ ΠΊΡΡΡ Π»Π΅ΡΠ΅Π½ΠΈΡ, Π΄Π°Π±Ρ ΠΏΡΠ΅Π΄ΡΠΏΡΠ΅Π΄ΠΈΡΡ Π²ΠΎΠ·Π½ΠΈΠΊΠ½ΠΎΠ²Π΅Π½ΠΈΡ Π½Π΅Π±Π»Π°Π³ΠΎΠΏΡΠΈΡΡΠ½ΡΡ ΠΏΠΎΡΠ»Π΅Π΄ΡΡΠ²ΠΈΠΉ.
Π Π½Π°ΠΈΠ±ΠΎΠ»Π΅Π΅ ΡΠ°ΡΠΏΡΠΎΡΡΡΠ°Π½Π΅Π½Π½ΠΎΠΉ ΡΠ΅Ρ Π½ΠΎΠ»ΠΎΠ³ΠΈΠΈ ΠΎΡΠΌΠΎΡΡΠ° Π±ΠΎΠ»ΡΠ½ΠΎΠ³ΠΎ, ΠΎΡΠ½ΠΎΡΡΡ β ΠΠ’ ΠΏΠΎΡΠ΅ΠΊ Ρ ΠΊΠΎΠ½ΡΡΠ°ΡΡΠΈΡΠΎΠ²Π°Π½ΠΈΠ΅ΠΌ. ΠΠΎΠΌΠΏΡΡΡΠ΅ΡΠ½Π°Ρ Π΄ΠΈΠ°Π³Π½ΠΎΡΡΠΈΠΊΠ° β ΡΠΎΠ²ΡΠ΅ΠΌΠ΅Π½Π½ΡΠΉ ΠΈ Π²ΡΡΠΎΠΊΠΎΠΈΠ½ΡΠΎΡΠΌΠ°ΡΠΈΠ²Π½ΡΠΉ ΠΌΠ΅ΡΠΎΠ΄ ΠΏΡΠΎΠ²Π΅ΡΠΊΠΈ ΠΎΡΠ³Π°Π½ΠΈΠ·ΠΌΠ°. Π‘ΠΊΠ°Π½ΠΈΡΠΎΠ²Π°Π½ΠΈΠ΅ ΠΏΡΠΎΠ²ΠΎΠ΄ΠΈΡΡΡΡ Ρ ΠΏΡΠΈΠΌΠ΅Π½Π΅Π½ΠΈΠ΅ΠΌ ΠΎΡΠΎΠ±ΠΎΠ³ΠΎ Π²ΠΈΠ΄Π° Π°ΠΏΠΏΠ°ΡΠ°ΡΠ° β ΡΠΎΠΌΠΎΠ³ΡΠ°ΡΠ°. ΠΠΎ Π²ΡΠ΅ΠΌΡ ΡΠ΅Π°Π½ΡΠ°, ΠΏΠ°ΡΠΈΠ΅Π½Ρ ΠΏΠΎΠΌΠ΅ΡΠ°Π΅ΡΡΡ Π² ΡΡΠ½Π½Π΅Π»Ρ ΡΡΡΡΠΎΠΉΡΡΠ²Π°, Π³Π΄Π΅ ΠΈ Π²ΡΠΏΠΎΠ»Π½ΡΠ΅ΡΡΡ ΠΏΠΎΡΠ»ΠΎΠΉΠ½ΠΎΠ΅ ΠΎΠ±ΡΠ»Π΅Π΄ΠΎΠ²Π°Π½ΠΈΠ΅.
Π‘ΡΡΡ ΠΏΡΠ΅Π΄ΡΡΠ°Π²Π»Π΅Π½Π½ΠΎΠ³ΠΎ ΡΠΏΠΎΡΠΎΠ±Π°, Π·Π°ΠΊΠ»ΡΡΠ°Π΅ΡΡΡ Π² ΠΏΡΠΎΡΡΠΎΠΌ ΠΈ Π΄ΠΎΡΡΡΠΏΠ½ΠΎΠΌ ΡΠ΅ΡΡΠΈΡΠΎΠ²Π°Π½ΠΈΠΈ, Π±Π»Π°Π³ΠΎΠ΄Π°ΡΡ ΡΠ½ΠΈΠΆΠ΅Π½Π½ΠΎΠΉ Π΄ΠΎΠ·ΠΈΡΠΎΠ²ΠΊΠ΅ ΠΎΠ±Π»Π΅ΡΠ΅Π½ΠΈΡ ΡΠ΅Π»Π°. Π Ρ ΠΎΠ΄Π΅ ΠΎΡΠ΅Π½ΠΊΠΈ ΡΠΎΡΡΠΎΡΠ½ΠΈΡ ΡΠ΅Π»ΠΎΠ²Π΅ΠΊΠ°, ΠΎΠ±ΠΎΡΡΠ΄ΠΎΠ²Π°Π½ΠΈΠ΅, Ρ ΠΏΠΎΠΌΠΎΡΡΡ ΡΠΏΠ΅ΡΠΈΠ°Π»ΡΠ½ΡΡ Π΄Π°ΡΡΠΈΠΊΠΎΠ², ΡΠΈΠΊΡΠΈΡΡΡΡ ΡΠ°Π·Π½ΠΈΡΡ ΠΌΠ΅ΠΆΠ΄Ρ Π²ΡΠΏΡΡΠΊΠ°ΡΡΠΈΠΌΠΈΡΡ Π»ΡΡΠ°ΠΌΠΈ ΠΈΠ· ΠΏΡΠΈΠ±ΠΎΡΠ° ΠΈ ΡΠ΅ΠΌΠΈ, ΠΊΠΎΡΠΎΡΡΠ΅ ΠΏΠΎΠΊΠΈΠ½ΡΠ»ΠΈ ΠΎΡΠ³Π°Π½ΠΈΠ·ΠΌ. ΠΡΠΆΠ½ΠΎ ΠΏΠΎΠ½ΠΈΠΌΠ°ΡΡ, ΡΡΠΎ Π²ΠΎ Π²ΡΠ΅ΠΌΡ Π΄ΠΈΠ°Π³Π½ΠΎΡΡΠΈΠΊΠΈ Π½Π΅ΠΊΠΎΡΠΎΡΠ°Ρ Π΄ΠΎΠ»Ρ Π²ΡΠ΄Π΅Π»ΡΠ΅ΠΌΠΎΠΉ ΡΠ½Π΅ΡΠ³ΠΈΠΈ ΠΏΠΎΠ³Π»ΠΎΡΠ°Π΅ΡΡΡ ΠΏΠ»ΠΎΡΠ½ΠΎΠΉ ΡΠΊΠ°Π½ΡΡ ΡΠ΅Π»Π°. ΠΠΎΡΠ»Π΅ ΠΎΠΊΠΎΠ½ΡΠ°Π½ΠΈΡ ΠΏΡΠΎΡΠ΅Π΄ΡΡΡ, ΠΌΠ΅Π΄ΠΈΡΠΈΠ½ΡΠΊΠΈΠ΅ ΡΠΎΡΡΡΠ΄Π½ΠΈΠΊΠΈ ΠΌΠΎΠ³ΡΡ ΠΈΠ·ΡΡΠΈΡΡ ΠΏΠΎΠ»ΡΡΠ΅Π½Π½ΡΠ΅ ΡΠΎΡΠΎΡΠ½ΠΈΠΌΠΊΠΈ ΡΡΠ΅Π±ΡΠ΅ΠΌΠΎΠ³ΠΎ Π²Π½ΡΡΡΠ΅Π½Π½Π΅Π³ΠΎ ΠΎΠ±ΡΠ΅ΠΊΡΠ°.
ΠΠ»Π°ΡΡΠΈΡΠΈΠΊΠ°ΡΠΈΡ ΠΠ’ ΠΏΠΎΡΠ΅ΠΊ

ΠΠ»Ρ ΡΠΎΠ³ΠΎ, ΡΡΠΎΠ±Ρ Π·Π°ΠΏΠΈΡΠ°ΡΡΡΡ Π½Π° ΠΏΡΠΈΠ΅ΠΌ Π΄Π»Ρ ΠΏΡΠΎΡ ΠΎΠΆΠ΄Π΅Π½ΠΈΡ ΠΠ’ β Π²ΠΎΡΠΏΠΎΠ»ΡΠ·ΡΠΉΡΠ΅ΡΡ Π²ΡΠ΅Π΄ΠΎΡΡΡΠΏΠ½ΡΠΌ ΠΏΠΎΠΈΡΠΊΠΎΠ²ΡΠΌ ΡΠ΅ΡΠ²ΠΈΡΠΎΠΌ Β«ΠΠ¦ΠΒ». ΠΠ°ΡΠ° ΠΊΠΎΠΌΠΏΠ°Π½ΠΈΡ ΠΏΡΠ΅Π΄Π»Π°Π³Π°Π΅Ρ ΡΠ²ΠΎΠΈ ΡΡΠ»ΡΠ³ΠΈ Π΄Π»Ρ Π±ΡΡΡΡΠΎ Π½Π°Ρ ΠΎΠΆΠ΄Π΅Π½ΠΈΡ ΡΠ΅ΠΉΡΠΈΠ½Π³ΠΎΠ²ΠΎΠ³ΠΎ ΠΊΠ»ΠΈΠ½ΠΈΡΠ΅ΡΠΊΠΎΠ³ΠΎ ΡΡΡΠ΅ΠΆΠ΄Π΅Π½ΠΈΡ ΡΡΠ΄ΠΎΠΌ Ρ Π²Π°ΡΠΈΠΌ Π΄ΠΎΠΌΠΎΠΌ. ΠΠ° ΠΎΡΠΈΡΠΈΠ°Π»ΡΠ½ΠΎΠΌ ΡΠ°ΠΉΡΠ΅, Π²Ρ ΡΠΌΠΎΠΆΠ΅ΡΠ΅ Π½Π°ΠΉΡΠΈ ΡΠΎΠ»ΡΠΊΠΎ ΠΏΡΠΎΠ²Π΅ΡΠ΅Π½Π½ΡΡ ΠΈ Π΄ΠΎΡΡΠΎΠ²Π΅ΡΠ½ΡΡ ΠΈΠ½ΡΠΎΡΠΌΠ°ΡΠΈΡ ΠΎ Π½Π°Π»ΠΈΡΠΈΠΈ ΡΠ²ΠΎΠ±ΠΎΠ΄Π½ΡΡ ΠΌΠ΅ΡΡ Π½Π° Π±Π»ΠΈΠΆΠ°ΠΉΡΠΈΠ΅ Π΄Π½ΠΈ, ΠΏΡΠ°ΠΉΡ-Π»ΠΈΡΡ, Π° ΡΠ°ΠΊΠΆΠ΅ ΠΎΠ·Π½Π°ΠΊΠΎΠΌΠΈΡΡΡΡ Ρ ΡΠ΅Π°Π»ΡΠ½ΡΠΌΠΈ ΠΎΡΠ·ΡΠ²Π°ΠΌΠΈ ΠΏΠΎΡΠ΅ΡΠΈΡΠ΅Π»Π΅ΠΉ.
Π ΠΊΠ°ΠΊΠΈΡ ΡΠ»ΡΡΠ°ΡΡ ΡΡΠΎΠΈΡ ΡΠ΄Π΅Π»Π°ΡΡ ΠΠ’ ΠΏΠΎΡΠ΅ΠΊ Ρ ΠΊΠΎΠ½ΡΡΠ°ΡΡΠΎΠΌ ΠΈ Π±Π΅Π·?

ΠΠΏΠΈΡΡΠ²Π°Π΅ΠΌΡΠΉ ΠΌΠ΅ΡΠΎΠ΄ ΠΎΠ±ΡΠ»Π΅Π΄ΠΎΠ²Π°Π½ΠΈΡ ΡΠ΅Π»ΠΎΠ²Π΅ΡΠ΅ΡΠΊΠΎΠ³ΠΎ ΠΎΡΠ³Π°Π½ΠΈΠ·ΠΌΠ°, Π²ΡΠ°ΡΠΈ ΠΏΡΠ΅Π΄Π»Π°Π³Π°ΡΡ Π΄Π»Ρ ΡΡΠΎΡΠ½Π΅Π½ΠΈΡ ΡΠ°Π·ΠΌΠ΅ΡΠΎΠ² ΠΊΠΎΠ½ΠΊΡΠ΅ΡΠ½ΠΎΠ³ΠΎ ΠΎΡΠ³Π°Π½Π°, ΠΎΠΏΡΠ΅Π΄Π΅Π»Π΅Π½ΠΈΡ Π²ΡΠ΅Π²ΠΎΠ·ΠΌΠΎΠΆΠ½ΡΡ ΠΎΠ±ΡΠ°Π·ΠΎΠ²Π°Π½ΠΈΠΉ ΡΠ°Π·Π»ΠΈΡΠ½ΠΎΠ³ΠΎ Ρ Π°ΡΠ°ΠΊΡΠ΅ΡΠ°, ΠΏΠ΅ΡΠ΅Π΄ ΠΏΠΎΠ΄Π³ΠΎΡΠΎΠ²ΠΊΠΎΠΉ ΠΊ ΠΎΠΏΠ΅ΡΠ°ΡΠΈΠΈ, Π° ΡΠ°ΠΊΠΆΠ΅ Π΄Π»Ρ ΠΏΠΎΠΈΡΠΊΠ° ΠΌΠ΅ΡΡΠΎΠ½Π°Ρ ΠΎΠΆΠ΄Π΅Π½ΠΈΡ Π½ΡΠΆΠ½ΠΎΠΉ Π·ΠΎΠ½Ρ Π΄Π»Ρ Π±ΠΈΠΎΠΏΡΠΈΠΈ. ΠΠ’ β ΡΠΎΠ²Π΅ΡΡΠ΅Π½Π½ΠΎ Π±Π΅Π·ΠΎΠΏΠ°ΡΠ½ΠΎΠ΅ ΠΈΡΡΠ»Π΅Π΄ΠΎΠ²Π°Π½ΠΈΠ΅, ΠΎΠ΄Π½Π°ΠΊΠΎ Π² ΠΎΡΠΎΠ±ΡΡ ΡΠΈΡΡΠ°ΡΠΈΡΡ Π΄ΠΎΠΊΡΠΎΡΠ°ΠΌ ΠΌΠΎΠΆΠ΅Ρ ΠΏΠΎΡΡΠ΅Π±ΠΎΠ²Π°ΡΡΡΡ Π±ΠΎΠ»Π΅Π΅ Π΄Π΅ΡΠ°Π»ΠΈΠ·ΠΈΡΠΎΠ²Π°Π½Π½ΠΎΠ΅ ΠΈΠ·ΠΎΠ±ΡΠ°ΠΆΠ΅Π½ΠΈΠ΅, Π΄Π»Ρ ΡΡΠΎΠ³ΠΎ Π² ΡΠ΅Π»ΠΎ ΠΏΠ°ΡΠΈΠ΅Π½ΡΠ° Π²Π²ΠΎΠ΄ΡΡ ΠΊΠΎΠ½ΡΡΠ°ΡΡ-Π²Π΅ΡΠ΅ΡΡΠ²ΠΎ. ΠΠ·-Π·Π° ΠΏΠΎΠ΄ΠΎΠ±Π½ΠΎΠΉ ΠΌΠ΅ΡΡ Ρ Π»ΡΠ΄Π΅ΠΉ, ΠΌΠΎΠ³ΡΡ ΠΏΡΠΎΡΠ²ΠΈΡΡΡΡ ΡΠ°ΠΊΠΈΠ΅ ΠΆΠ°Π»ΠΎΠ±Ρ:
ΠΠΎΠ³Π΄Π° Π½Π΅Π»ΡΠ·Ρ Π΄Π΅Π»Π°ΡΡ ΠΠ’ ΠΏΠΎΡΠ΅ΠΊ Ρ ΠΊΠΎΠ½ΡΡΠ°ΡΡΠΈΡΠΎΠ²Π°Π½ΠΈΠ΅ΠΌ?

Π Π½Π΅ΠΊΠΎΡΠΎΡΡΡ ΡΠΈΡΡΠ°ΡΠΈΡΡ , ΠΠ’ Π½Π΅ ΡΠ°Π·ΡΠ΅ΡΠ°Π΅ΡΡΡ ΠΏΡΠΎΠ²ΠΎΠ΄ΠΈΡΡ, ΠΈΠ·-Π·Π° ΠΏΠΎΠ²ΡΡΠ΅Π½Π½ΠΎΠ³ΠΎ ΡΠΈΡΠΊΠ° ΠΏΠΎΠ»ΡΡΠΈΡΡ Π±ΠΎΠ»ΡΡΡΡ Π΄ΠΎΠ·ΠΈΡΠΎΠ²ΠΊΡ ΠΈΠ·Π»ΡΡΠ΅Π½ΠΈΡ.
ΠΡΠ΅ΠΈΠΌΡΡΠ΅ΡΡΠ²Π° ΠΠ’ ΠΏΠΎΡΠ΅ΠΊ Ρ ΠΊΠΎΠ½ΡΡΠ°ΡΡΠΈΡΠΎΠ²Π°Π½ΠΈΠ΅ΠΌ
ΠΠ°Π»Π΅ΠΊΠΎ Π½Π΅ Π²ΡΠ΅ Π»ΡΠ΄ΠΈ ΠΈΠΌΠ΅ΡΡ ΠΏΡΠ΅Π΄ΡΡΠ°Π²Π»Π΅Π½ΠΈΠ΅ ΠΎ ΡΠΎΠΌ, ΡΡΠΎ ΠΈΠ· ΡΠ΅Π±Ρ ΠΏΡΠ΅Π΄ΡΡΠ°Π²Π»ΡΠ΅Ρ ΠΊΠΎΠΌΠΏΡΡΡΠ΅ΡΠ½Π°Ρ Π΄ΠΈΠ°Π³Π½ΠΎΡΡΠΈΠΊΠ° Ρ Π΄ΠΎΠΏΠΎΠ»Π½ΠΈΡΠ΅Π»ΡΠ½ΡΠΌ ΡΡΠΈΠ»ΠΈΡΠ΅Π»Π΅ΠΌ ΠΏΠΎΠΊΠ°Π·Π°ΡΠ΅Π»Π΅ΠΉ. ΠΠ°ΠΌ Π½Π΅ ΡΡΠΎΠΈΡ Π½ΠΈ ΠΎ ΡΠ΅ΠΌ Π±Π΅ΡΠΏΠΎΠΊΠΎΠΈΡΡΡΡ, ΡΠ°ΠΊ ΠΊΠ°ΠΊ ΠΠ’ Ρ ΠΊΠΎΠ½ΡΡΠ°ΡΡΠΎΠΌ β ΡΡ ΠΎΠΆΠ΅ ΡΠΎ ΡΡΠ°Π½Π΄Π°ΡΡΠ½ΠΎΠΉ ΠΏΡΠΎΡΠ΅Π΄ΡΡΠΎΠΉ. Π Π°Π·Π»ΠΈΡΠΈΡ ΡΠΎΡΡΠΎΡΡ ΡΠΎΠ»ΡΠΊΠΎ Π² ΡΠΎΠΌ, ΡΡΠΎ Π²ΠΎ Π²ΡΠ΅ΠΌΡ ΠΏΠ΅ΡΠ²ΠΎΠ³ΠΎ Π²Π°ΡΠΈΠ°Π½ΡΠ°, ΠΏΠ΅ΡΠ΅Π΄ ΠΏΠΎΠΌΠ΅ΡΠ΅Π½ΠΈΠ΅ΠΌ Π±ΠΎΠ»ΡΠ½ΠΎΠ³ΠΎ Π²ΠΎΠ²Π½ΡΡΡΡ ΡΡΡΡΠΎΠΉΡΡΠ²Π°, ΠΌΠ΅Π΄ΡΠ΅ΡΡΡΠ° Π²Π²ΠΎΠ΄ΠΈΡ ΠΎΡΠΎΠ±ΠΎΠ΅ Π»Π΅ΠΊΠ°ΡΡΡΠ²Π΅Π½Π½ΠΎΠ΅ Π²Π΅ΡΠ΅ΡΡΠ²ΠΎ Π²Π½ΡΡΡΠΈΠ²Π΅Π½Π½ΡΠΌ ΠΏΡΡΠ΅ΠΌ. ΠΡΠ°ΡΠΈ ΠΈΡΠΏΠΎΠ»ΡΠ·ΡΡΡ Π΄Π°Π½Π½ΡΠ΅ ΠΏΡΠ΅ΠΏΠ°ΡΠ°Ρ Π΄Π»Ρ ΡΠΎΠ³ΠΎ, ΡΡΠΎΠ±Ρ Π²ΡΠ²ΠΎΠ΄ΡΡΠ΅Π΅ΡΡ Π½Π° ΡΠΊΡΠ°Π½ ΠΊΠΎΠΌΠΏΡΡΡΠ΅ΡΠ° ΠΈΠ·ΠΎΠ±ΡΠ°ΠΆΠ΅Π½ΠΈΠ΅ ΡΡΠ°Π»ΠΎ Π±ΠΎΠ»Π΅Π΅ ΡΠ΅ΡΠΊΠΈΠΌ ΠΈ ΡΠΎΡΠ½ΡΠΌ. Π‘ ΠΏΠΎΠΌΠΎΡΡΡ ΡΡΠΎΠΉ ΠΌΠ΅ΡΡ ΡΠΏΠ΅ΡΠΈΠ°Π»ΠΈΡΡ ΠΌΠΎΠΆΠ΅Ρ Π»ΡΡΡΠ΅ ΠΈΠ·ΡΡΠΈΡΡ Π²ΡΠ΅ Π°Π½ΠΎΠΌΠ°Π»ΠΈΠΈ Π² ΠΎΡΠ³Π°Π½ΠΈΠ·ΠΌΠ΅.
Π ΡΠΎΡΡΠ°Π² ΠΊΠΎΠ½ΡΡΠ°ΡΡ-ΠΌΠ΅Π΄ΠΈΠΊΠ°ΠΌΠ΅Π½ΡΠ°, Π²Ρ ΠΎΠ΄ΡΡ Π½Π΅ΠΈΠΎΠ½Π½ΡΠ΅ ΠΊΠΎΠΌΠΏΠΎΠ½Π΅Π½ΡΡ, Π² ΠΎΡΠ½ΠΎΠ²Π΅ ΠΊΠΎΡΠΎΡΡΡ ΠΏΡΠΈΡΡΡΡΡΠ²ΡΠ΅Ρ ΠΉΠΎΠ΄. ΠΠ½ Π±ΡΡΡΡΠΎ ΡΠ°ΡΠΏΡΠΎΡΡΡΠ°Π½ΡΠ΅ΡΡΡ ΠΏΠΎ ΡΠ΅Π»Ρ ΡΠ΅Π»ΠΎΠ²Π΅ΠΊΠ° ΠΈ Π² Π·Π½Π°ΡΠΈΡΠ΅Π»ΡΠ½ΠΎΠΉ ΡΡΠ΅ΠΏΠ΅Π½ΠΈ ΠΏΠΎΠ²ΡΡΠ°Π΅Ρ ΠΊΠ°ΡΠ΅ΡΡΠ²ΠΎ ΡΠ½ΠΈΠΌΠΊΠ°. ΠΠ²ΠΎΠ΄ Π»Π΅ΠΊΠ°ΡΡΡΠ²Π° Π΄Π΅Π»Π°Π΅ΡΡΡ Π½Π΅ΠΏΠΎΡΡΠ΅Π΄ΡΡΠ²Π΅Π½Π½ΠΎ ΠΏΠ΅ΡΠ΅Π΄ ΠΏΡΠΎΡΠ΅Π΄ΡΡΠΎΠΉ ΠΠ’.
Π‘ ΠΏΠΎΠΌΠΎΡΡΡ ΠΠ΄ΠΈΠ½ΠΎΠ³ΠΎ ΡΠ΅Π½ΡΡΠ° Π·Π°ΠΏΠΈΡΠΈ, Π²Ρ ΠΏΠΎΠ»ΡΡΠ°Π΅ΡΠ΅ Π²ΠΎΠ·ΠΌΠΎΠΆΠ½ΠΎΡΡΡ ΡΠ°ΠΌΠΎΡΡΠΎΡΡΠ΅Π»ΡΠ½ΠΎ ΠΎΡΠΎΡΠΌΠΈΡΡ Π·Π°ΡΠ²ΠΊΡ Π½Π° ΠΏΡΠΈΠ΅ΠΌ ΠΊ Π»ΡΡΡΠ΅ΠΌΡ ΡΠΊΡΠΏΠ΅ΡΡΡ Π² ΡΡΠΎΠΉ ΠΎΠ±Π»Π°ΡΡΠΈ β Π½Π΅ ΠΏΠΎΠΊΠΈΠ΄Π°Ρ Π΄ΠΎΠΌΠ°. ΠΠ»Ρ ΡΡΠΎΠ³ΠΎ Π΄ΠΎΡΡΠ°ΡΠΎΡΠ½ΠΎ Π·Π°ΠΏΠΎΠ»Π½ΠΈΡΡ ΠΊΡΠ°ΡΠΊΠΈΠ΅ ΡΠ²Π΅Π΄Π΅Π½ΠΈΡ Π² ΡΠΏΠ΅ΡΠΈΠ°Π»ΡΠ½ΠΎΠΌ ΡΠ°Π·Π΄Π΅Π»Π΅. ΠΠ°ΡΠ° ΠΏΠΎΠΈΡΠΊΠΎΠ²Π°Ρ ΡΠΈΡΡΠ΅ΠΌΠ° ΠΏΡΠΎΡΡΠ° ΠΈ ΠΈΠ½ΡΡΠΈΡΠΈΠ²Π½ΠΎ ΠΏΠΎΠ½ΡΡΠ½Π° Π΄Π°ΠΆΠ΅ Π΄Π»Ρ Π½Π°ΡΠΈΠ½Π°ΡΡΠΈΡ ΡΠ·Π΅ΡΠΎΠ². Π ΡΠ»ΡΡΠ°Π΅ Π²ΠΎΠ·Π½ΠΈΠΊΠ½ΠΎΠ²Π΅Π½ΠΈΡ ΠΏΡΠΎΠ±Π»Π΅ΠΌ, Π½Π°ΡΠ° ΠΊΠΎΠΌΠΏΠ°Π½ΠΈΡ ΠΏΡΠ΅Π΄Π»Π°Π³Π°Π΅Ρ Π±Π΅ΡΠΏΠ»Π°ΡΠ½ΡΡ ΠΊΠΎΠ½ΡΡΠ»ΡΡΠ°ΡΠΈΡ ΠΎΡ ΠΎΠΏΡΡΠ½ΡΡ ΠΌΠ΅Π½Π΅Π΄ΠΆΠ΅ΡΠΎΠ². ΠΠ»Ρ ΡΡΠΎΠ³ΠΎ, Π²Π°ΠΌ Π½Π΅ΠΎΠ±Ρ ΠΎΠ΄ΠΈΠΌΠΎ ΠΏΠΎΠ·Π²ΠΎΠ½ΠΈΡΡ ΠΏΠΎ ΡΠ΅Π»Π΅ΡΠΎΠ½Ρ Π³ΠΎΡΡΡΠ΅ΠΉ Π»ΠΈΠ½ΠΈΠΈ.
ΠΠΎΠΆΠ½ΠΎ Π»ΠΈ ΠΎΠ±ΠΎΠΉΡΠΈΡΡ ΠΎΠ±ΡΡΠ½ΠΎΠΉ ΠΏΡΠΎΡΠ΅Π΄ΡΡΠΎΠΉ ΠΈΠ»ΠΈ ΠΎΠ±ΡΠ·Π°ΡΠ΅Π»ΡΠ½ΠΎ Π΄Π΅Π»Π°ΡΡ ΠΠ’ ΠΏΠΎΡΠ΅ΠΊ Ρ ΠΊΠΎΠ½ΡΡΠ°ΡΡΠΈΡΠΎΠ²Π°Π½ΠΈΠ΅ΠΌ?

ΠΠ°ΠΊ ΠΏΡΠΎΡ ΠΎΠ΄ΠΈΡ ΠΏΠΎΠ΄Π³ΠΎΡΠΎΠ²ΠΊΠ° ΠΊ ΠΠ’ ΠΏΠΎΡΠ΅ΠΊ?
ΠΠ΅ΡΠ²ΡΠΌ Π΄Π΅Π»ΠΎΠΌ, ΠΏΠ΅ΡΠ΅Π΄ ΠΏΠΎΡΠ΅ΡΠ΅Π½ΠΈΠ΅ΠΌ ΠΊΠ°Π±ΠΈΠ½Π΅ΡΠ° Ρ ΡΠΎΠΌΠΎΠ³ΡΠ°ΡΠΎΠΌ, Π²Π°ΠΌ ΡΡΠΎΠΈΡ ΠΎΠ΄Π΅ΡΡΡΡ Π² ΠΌΠ°ΠΊΡΠΈΠΌΠ°Π»ΡΠ½ΠΎ ΡΠ΄ΠΎΠ±Π½ΡΡ ΠΎΠ΄Π΅ΠΆΠ΄Ρ (Π² Π½Π΅ΠΊΠΎΡΠΎΡΡΡ ΠΊΠ»ΠΈΠ½ΠΈΠΊΠ°Ρ , ΡΠΎΡΡΡΠ΄Π½ΠΈΠΊΠΈ Π²ΡΠ΄Π°ΡΡ ΡΠΏΠ΅ΡΠΈΠ°Π»ΡΠ½ΡΠΉ ΠΌΠ΅Π΄ΠΈΡΠΈΠ½ΡΠΊΠΈΠΉ Ρ Π°Π»Π°Ρ Π½Π° Π²ΡΠ΅ΠΌΡ ΠΏΡΠΎΠ²Π΅ΡΠΊΠΈ). Π’Π°ΠΊΠΆΠ΅, ΠΏΠ΅ΡΠ΅Π΄ Π½Π°ΡΠ°Π»ΠΎΠΌ ΠΎΠ±ΡΠ»Π΅Π΄ΠΎΠ²Π°Π½ΠΈΡ, Π±ΠΎΠ»ΡΠ½ΠΎΠΌΡ ΡΡΠΎΠΈΡ ΡΠ½ΡΡΡ Ρ ΡΠ΅Π±Ρ Π²ΡΠ΅ ΡΠΊΡΠ°ΡΠ΅Π½ΠΈΡ ΠΈ ΠΌΠ΅ΡΠ°Π»Π»ΠΈΡΠ΅ΡΠΊΠΈΠ΅ ΠΈΠ·Π΄Π΅Π»ΠΈΡ, ΡΠ°ΠΊ ΠΊΠ°ΠΊ ΠΎΠ½ΠΈ ΠΌΠΎΠ³ΡΡ ΡΠ½ΠΈΠ·ΠΈΡΡ ΠΏΠΎΠΊΠ°Π·Π°ΡΠ΅Π»ΠΈ ΠΈΡΡΠ»Π΅Π΄ΠΎΠ²Π°Π½ΠΈΡ. ΠΡΠΈΠ΅ΠΌ ΠΏΠΈΡΠΈ Π½ΡΠΆΠ½ΠΎ ΠΎΠΊΠΎΠ½ΡΠΈΡΡ Π·Π° 7 ΡΠ°ΡΠΎΠ² Π΄ΠΎ Π½Π°ΡΠ°Π»Π° ΠΏΡΠΎΡΠ΅Π΄ΡΡΡ. ΠΡΠΎΠ²ΠΎΠ΄ΠΈΡΡ ΡΠΎΠΌΠΎΠ³ΡΠ°ΡΠΈΡ Π½Π° ΠΏΠΎΠ»Π½ΡΠΉ ΠΆΠ΅Π»ΡΠ΄ΠΎΠΊ Π½Π΅Π»ΡΠ·Ρ, ΡΠ°ΠΊ ΠΊΠ°ΠΊ Π²Π²ΠΎΠ΄ΠΈΠΌΡΠΉ ΠΌΠ΅Π΄ΠΈΠΊΠ°ΠΌΠ΅Π½Ρ ΡΠΏΠΎΡΠΎΠ±Π΅Π½ Π²ΡΠ·Π²Π°ΡΡ ΡΠ²ΠΎΡΠ½ΡΠ΅ ΡΠ΅ΡΠ»Π΅ΠΊΡΡ ΠΈ ΡΠΎΡΠ½ΠΎΡΠ½ΡΠ΅ ΠΏΠΎΠ·ΡΠ²Ρ.
ΠΠ»ΡΡΡ ΠΈ ΠΌΠΈΠ½ΡΡΡ ΠΠ’ ΠΏΠΎΡΠ΅ΠΊ
Π Π½Π°ΠΈΠ±ΠΎΠ»Π΅Π΅ ΡΡΠΊΠΎ Π²ΡΠ΄Π΅Π»ΡΡΡΠ΅ΠΌΡΡΡ Π΄ΠΎΡΡΠΎΠΈΠ½ΡΡΠ²Ρ ΠΠ’, ΠΎΡΠ½ΠΎΡΡΡ ΠΏΠΎΠ»Π½Π΅ΠΉΡΡΡ Π±Π΅Π·Π±ΠΎΠ»Π΅Π·Π½Π΅Π½Π½ΠΎΡΡΡ ΠΈ ΠΎΡΠ΅Π½Ρ Π±ΡΡΡΡΠΎ ΠΏΡΠ΅Π΄ΠΎΡΡΠ°Π²Π»Π΅Π½ΠΈΠ΅ Π·Π°ΠΊΠ»ΡΡΠ΅Π½ΠΈΡ. Π’Π°ΠΊΠΆΠ΅, ΠΊ ΡΠ°ΡΠΏΡΠΎΡΡΡΠ°Π½Π΅Π½Π½ΡΠΌ ΠΏΡΠΈΠ²ΠΈΠ»Π΅Π³ΠΈΡΠΌ Π΄Π°Π½Π½ΠΎΠ³ΠΎ ΠΌΠ΅Π΄ΠΈΡΠΈΠ½ΡΠΊΠΎΠ³ΠΎ ΡΡΡΡΠΎΠΉΡΡΠ²Π° ΠΎΡΠ½ΠΎΡΡΡ:
ΠΠ΅ΡΠΌΠΎΡΡΡ Π½Π° Π±ΠΎΠ»ΡΡΠΎΠ΅ ΡΠΈΡΠ»ΠΎ ΠΏΠΎΠ»ΠΎΠΆΠΈΡΠ΅Π»ΡΠ½ΡΡ ΡΠ°ΠΊΡΠΎΡΠΎΠ², Ρ ΠΏΡΠ΅Π΄ΡΡΠ°Π²Π»Π΅Π½Π½ΠΎΠ³ΠΎ ΠΈΡΡΠ»Π΅Π΄ΠΎΠ²Π°Π½ΠΈΡ ΡΡΡΠ΅ΡΡΠ²ΡΡΡ ΠΈ Π½Π΅Π³Π°ΡΠΈΠ²Π½ΡΠ΅ ΡΡΠΎΡΠΎΠ½Ρ. Π ΡΠ°ΠΊΠΈΠΌ ΠΌΠΈΠ½ΡΡΠ°ΠΌ ΠΎΡΠ½ΠΎΡΡΡΡΡ:
ΠΠΎΡΠ»Π΅Π΄ΠΎΠ²Π°ΡΠ΅Π»ΡΠ½ΠΎΡΡΡ ΡΡΠ°ΠΏΠΎΠ² Π² Ρ ΠΎΠ΄Π΅ ΠΏΡΠΎΠ²Π΅Π΄Π΅Π½ΠΈΡ ΠΠ’ ΠΏΠΎΡΠ΅ΠΊ Ρ ΠΊΠΎΠ½ΡΡΠ°ΡΡΠΎΠΌ ΠΈ Π±Π΅Π·

ΠΠΎ Π²ΡΠ΅ΠΌΡ ΡΠΊΠ°Π½ΠΈΡΠΎΠ²Π°Π½ΠΈΡ ΡΠ΅Ρ Π½ΠΎΠ»ΠΎΠ³ ΠΌΠΎΠΆΠ΅Ρ ΠΏΠΎΠ΄Π΄Π΅ΡΠΆΠΈΠ²Π°ΡΡΡΡ ΠΊΠΎΠ½ΡΠ°ΠΊΡ Ρ Π±ΠΎΠ»ΡΠ½ΡΠΌ ΠΏΡΠΈ ΠΏΠΎΠΌΠΎΡΠΈ ΡΠΏΠ΅ΡΠΈΠ°Π»ΡΠ½ΠΎ ΠΎΠ±ΠΎΡΡΠ΄ΠΎΠ²Π°Π½Π½ΠΎΠΉ ΡΠΈΡΡΠ΅ΠΌΡ ΡΠ²ΡΠ·ΠΈ. Π ΡΠ»ΡΡΠ°Π΅, Π΅ΡΠ»ΠΈ Ρ ΡΠ΅Π»ΠΎΠ²Π΅ΠΊΠ° ΠΏΡΠΈΡΡΡΡΡΠ²ΡΠ΅Ρ Π±ΠΎΡΠ·Π½Ρ Π·Π°ΠΌΠΊΠ½ΡΡΠΎΠ³ΠΎ ΠΏΡΠΎΡΡΡΠ°Π½ΡΡΠ²Π° ΠΈΠ»ΠΈ Π΄ΡΡΠ³ΠΈΠ΅ ΠΏΡΠΎΠ±Π»Π΅ΠΌΡ, ΡΠΎ Π²ΡΠ°ΡΠΈ ΠΌΠΎΠ³ΡΡ Π²Π²Π΅ΡΡΠΈ Π΅Π³ΠΎ Π² ΠΌΠ΅Π΄ΠΈΠΊΠ°ΠΌΠ΅Π½ΡΠΎΠ·Π½ΡΠΉ ΡΠΎΠ½ ΠΈΠ»ΠΈ Π΄Π°ΡΡ ΡΡΠΏΠΎΠΊΠΎΠΈΡΠ΅Π»ΡΠ½ΡΠ΅ ΡΡΠ΅Π΄ΡΡΠ²Π°. ΠΠ΅ΡΡΠΊΠ°Ρ ΠΏΡΠΎΠ²Π΅ΡΠΊΠ° ΠΌΠΎΠΆΠ΅Ρ ΡΠΎΠ²Π΅ΡΡΠ°ΡΡΡΡ Π² ΠΏΡΠΈΡΡΡΡΡΠ²ΠΈΠΈ ΡΠΎΠ΄ΠΈΡΠ΅Π»Π΅ΠΉ. ΠΠΎΠ΄ΠΎΠ±Π½Π°Ρ ΠΌΠ΅ΡΠ°, ΠΏΠΎΠ·Π²ΠΎΠ»ΡΠ΅Ρ ΠΌΠ°Π»ΡΡΡ Π½Π΅ ΠΈΡΠΏΡΡΡΠ²Π°ΡΡ ΡΡΡΠ°Ρ Π°. Π₯ΠΎΠ΄ Π°Π½Π°Π»ΠΈΠ·Π°:
Π§ΡΠΎΠ±Ρ Π±ΡΡΡΡΠΎ ΠΈ Π±Π΅Π· ΠΎΡΠ΅ΡΠ΅Π΄Π΅ΠΉ Π·Π°ΠΏΠΈΡΠ°ΡΡΡΡ Π½Π° ΠΏΡΠΈΠ΅ΠΌ ΠΊ Π²ΡΠ±ΡΠ°Π½Π½ΠΎΠΌΡ Π²Π°ΠΌΠΈ ΡΠΏΠ΅ΡΠΈΠ°Π»ΠΈΡΡΡ, Π²ΠΎΡΠΏΠΎΠ»ΡΠ·ΡΠΉΡΠ΅ΡΡ Π±Π΅ΡΠΏΠ»Π°ΡΠ½ΡΠΌ ΡΠ΅ΡΠ²ΠΈΡΠΎΠΌ β ΠΠ¦Π. ΠΠ°ΡΠ° ΠΊΠΎΠΌΠΏΠ°Π½ΠΈΡ ΠΎΡΠΈΠ΅Π½ΡΠΈΡΠΎΠ²Π°Π½Π° Π½Π° ΠΏΡΠ΅Π΄ΠΎΡΡΠ°Π²Π»Π΅Π½ΠΈΠ΅ Π½Π°ΠΈΠ±ΠΎΠ»Π΅Π΅ Π΄ΠΎΡΡΠΎΠ²Π΅ΡΠ½ΠΎΠΉ ΠΈ ΠΏΡΠΎΠ²Π΅ΡΠ΅Π½Π½ΠΎΠΉ ΠΈΠ½ΡΠΎΡΠΌΠ°ΡΠΈΠΈ, Π° ΡΠ°ΠΊΠΆΠ΅ ΠΎΡΡΡΠ΅ΡΡΠ²Π»ΡΠ΅Ρ ΠΌΠ°ΠΊΡΠΈΠΌΠ°Π»ΡΠ½ΠΎ ΠΈΠ½Π΄ΠΈΠ²ΠΈΠ΄ΡΠ°Π»ΡΠ½ΡΠΉ ΠΏΠΎΠ΄Ρ ΠΎΠ΄ ΠΊ ΠΊΠ°ΠΆΠ΄ΠΎΠΌΡ ΡΠ²ΠΎΠ΅ΠΌΡ ΠΊΠ»ΠΈΠ΅Π½ΡΡ. ΠΡ ΠΈΡΠ΅ΠΌ Π½Π°ΠΈΠ±ΠΎΠ»Π΅Π΅ ΠΎΠΏΡΠΈΠΌΠ°Π»ΡΠ½ΡΠΉ Π²Π°ΡΠΈΠ°Π½Ρ ΠΊΠ»ΠΈΠ½ΠΈΠΊΠΈ β ΠΈΠΌΠ΅Π½Π½ΠΎ Π΄Π»Ρ Π²Π°Ρ! ΠΡΠΎΠΌΠ΅ ΡΠΎΠ³ΠΎ, ΠΏΠΎΠ»ΡΠ·ΡΡΡΡ Π½Π°ΡΠ΅ΠΉ ΠΏΠ»Π°ΡΡΠΎΡΠΌΠΎΠΉ, Π²Ρ ΡΠΌΠΎΠΆΠ΅ΡΠ΅ ΠΏΠΎΠ»ΡΡΠΈΡΡ Π²ΡΠ³ΠΎΠ΄Π½ΡΠ΅ ΡΠΊΠΈΠ΄ΠΊΠΈ ΠΈ Π°ΠΊΡΠΈΠΎΠ½Π½ΡΠ΅ ΠΏΡΠ΅Π΄Π»ΠΎΠΆΠ΅Π½ΠΈΡ, ΠΊΠΎΡΠΎΡΡΠ΅ ΡΡΠΊΠΎΠ½ΠΎΠΌΡΡ Π·Π°ΡΡΠ°ΡΡ Π½Π° Π΄ΠΈΠ°Π³Π½ΠΎΡΡΠΈΠΊΡ.
Π§ΡΠΎ ΠΏΡΠΎΠΈΡΡ ΠΎΠ΄ΠΈΡ ΠΏΠΎΡΠ»Π΅ ΠΠ’ ΠΏΠΎΡΠ΅ΠΊ?
ΠΠΎΡΠ»Π΅ Π·Π°Π²Π΅ΡΡΠ΅Π½ΠΈΡ ΡΠ΅Π°Π½ΡΠ° ΠΈΠ·ΡΡΠ΅Π½ΠΈΡ, Ρ ΠΈΠΌΠΈΡΠ΅ΡΠΊΠΈΠΉ ΠΊΠΎΠΌΠΏΠΎΠ½Π΅Π½Ρ Π² Π½Π΅ΠΊΠΎΡΠΎΡΡΡ ΠΌΠΎΠΌΠ΅Π½ΡΠ°Ρ , ΡΠΏΠΎΡΠΎΠ±Π΅Π½ Π²ΡΠ·Π²Π°ΡΡ Π°Π»Π»Π΅ΡΠ³ΠΈΡ. Π’ΠΎΠΌΠΎΠ³ΡΠ°ΡΠΈΡ Π±Π΅Π· Π΄ΠΎΠΏΠΎΠ»Π½ΠΈΡΠ΅Π»ΡΠ½ΠΎΠ³ΠΎ ΡΡΠΈΠ»ΠΈΡΠ΅Π»Ρ, Π·Π°ΡΠ°ΡΡΡΡ ΠΏΠ΅ΡΠ΅Π½ΠΎΡΠΈΡΡΡ Π²ΡΠ΅ΠΌΠΈ ΠΏΠ°ΡΠΈΠ΅Π½ΡΠ°ΠΌΠΈ Π΄ΠΎΠ²ΠΎΠ»ΡΠ½ΠΎ Ρ ΠΎΡΠΎΡΠΎ ΠΈ Π±Π΅Π· ΠΏΡΠΎΠ±Π»Π΅ΠΌ. Π ΡΠ»ΡΡΠ°Π΅ ΠΏΠΎΡΠ²Π»Π΅Π½ΠΈΡ ΠΊΠ°ΠΊΠΈΡ -ΡΠΎ ΠΆΠ°Π»ΠΎΠ±, ΡΡΠΎΠΈΡ Π½Π΅ΠΌΠ΅Π΄Π»Π΅Π½Π½ΠΎ ΡΠΎΠΎΠ±ΡΠΈΡΡ ΠΎ Π½ΠΈΡ Π΄ΠΎΠΊΡΠΎΡΡ. ΠΠ΅ΡΠΎΡΡΠ½ΡΠ΅ ΡΠΈΠΌΠΏΡΠΎΠΌΡ ΠΏΡΠΈ Π°Π»Π»Π΅ΡΠ³ΠΈΡΠ΅ΡΠΊΠΎΠΉ ΡΠ΅Π°ΠΊΡΠΈΠΈ:
Π§ΡΠΎ ΠΌΠΎΠΆΠ½ΠΎ ΡΠ²ΠΈΠ΄Π΅ΡΡ Ρ ΠΏΠΎΠΌΠΎΡΡΡ ΠΠ’ ΠΏΠΎΡΠ΅ΠΊ Ρ ΠΊΠΎΠ½ΡΡΠ°ΡΡΠΎΠΌ?

ΠΠΎΡΠ»Π΅Π΄ΡΡΠ²ΠΈΡ ΠΏΠΎΡΠ»Π΅ ΠΠ’ ΠΏΠΎΡΠ΅ΠΊ
Π Ρ ΠΎΠ΄Π΅ ΡΠ°Π±ΠΎΡΡ ΡΡΡΡΠΎΠΉΡΡΠ²Π°, ΡΠ΅Π»ΠΎΠ²Π΅ΠΊ Π½Π΅ Π±ΡΠ΄Π΅Ρ ΠΈΡΠΏΡΡΡΠ²Π°ΡΡ Π±ΠΎΠ»Π΅Π·Π½Π΅Π½Π½ΡΠ΅ ΠΈΠ»ΠΈ Π΄ΠΈΡΠΊΠΎΠΌΡΠΎΡΡΠ½ΡΠ΅ ΠΎΡΡΡΠ΅Π½ΠΈΡ. ΠΠΎ Π²ΡΠ΅ΠΌΡ ΡΡΠ½ΠΊΡΠΈΠΎΠ½ΠΈΡΠΎΠ²Π°Π½ΠΈΡ ΠΎΠ½ ΡΠΎΠ»ΡΠΊΠΎ ΠΈΠ·Π΄Π°Π΅Ρ ΡΠΈΠ»ΡΠ½ΡΠΉ ΡΡΠΌ. ΠΠ»Ρ ΠΈΠ·Π±Π°Π²Π»Π΅Π½ΠΈΡ ΠΎΡ ΠΏΠΎΡΡΠΎΡΠΎΠ½Π½ΠΈΡ Π·Π²ΡΠΊΠΎΠ², ΠΏΠ°ΡΠΈΠ΅Π½Ρ ΠΌΠΎΠΆΠ΅Ρ Π½Π°Π΄Π΅ΡΡ Π±Π΅ΡΡΡΠΈ. ΠΠ·-Π·Π° ΡΠΎΠ³ΠΎ, ΡΡΠΎ ΠΏΠ΅ΡΠ΅Π΄Π²ΠΈΠΆΠ½Π°Ρ ΠΊΡΡΠ΅ΡΠΊΠ° Π΄ΠΎΡΡΠ°ΡΠΎΡΠ½ΠΎ ΡΠ²Π΅ΡΠ΄Π°Ρ, Π²Ρ ΠΌΠΎΠΆΠ΅ΡΠ΅ ΠΏΠΎΠΏΡΠΎΡΠΈΡΡ Ρ ΡΠ°Π±ΠΎΡΠ½ΠΈΠΊΠ° Π΄ΠΎΠΏΠΎΠ»Π½ΠΈΡΠ΅Π»ΡΠ½ΡΠ΅ ΠΏΠΎΠ΄ΡΡΠΊΠΈ. ΠΠΎΡΠ»Π΅ ΠΏΡΠΎΠ²Π΅Π΄Π΅Π½ΠΈΡ Π°Π½Π°Π»ΠΈΠ·Π° ΠΌΠΎΠΆΠ΅Ρ ΠΏΠΎΡΠ²ΠΈΡΡΡΡ ΡΠ»Π΅Π³ΠΊΠ° ΠΏΠΎΠ²ΡΡΠ΅Π½Π½Π°Ρ ΡΡΠ΅ΠΏΠ΅Π½Ρ Π΄Π°Π²Π»Π΅Π½ΠΈΡ. ΠΠΎΠ·ΠΌΠΎΠΆΠ½ΠΎ, ΠΏΠΎΡΠ²Π»Π΅Π½ΠΈΠ΅ Π³ΠΎΠ»ΠΎΠ²Π½ΠΎΠΉ Π±ΠΎΠ»ΠΈ. ΠΡΠΈ ΠΈΠ½ΡΠΎΠΊΡΠΈΠΊΠ°ΡΠΈΠΈ ΡΠ΅Π»Π° Π²Π²ΠΎΠ΄ΠΈΠΌΡΠΌ ΠΏΡΠ΅ΠΏΠ°ΡΠ°ΡΠΎΠΌ, Π²ΠΎΠ·Π½ΠΈΠΊΠ°Π΅Ρ ΡΡΠ²ΡΡΠ²ΠΎ ΡΠΎΡΠ½ΠΎΡΡ, ΠΆΠΆΠ΅Π½ΠΈΡ Π² Π±ΡΡΡΠ½ΠΎΠΉ ΠΎΠ±Π»Π°ΡΡΠΈ, ΠΎΠΏΡΡ Π°Π½ΠΈΠ΅ Π³ΡΠ± ΠΈ Π²ΡΡΡΠΏΠ°Π½ΠΈΡ Π½Π° ΠΊΠΎΠΆΠ΅. ΠΠΎΠ΄ΠΎΠ±Π½ΡΠΉ ΠΏΡΠΎΡΠ΅ΡΡ ΠΌΠΎΠΆΠ΅Ρ ΠΏΡΠΎΡΠ²ΠΈΡΡΡΡ ΠΈΠ·-Π·Π° Π±ΠΎΠ»Π΅Π·Π½ΠΈ ΠΎΡΠ³Π°Π½ΠΎΠ², ΡΠΏΠΎΡΠΎΠ±ΡΡΠ²ΡΡΡΠΈΡ Π²ΡΠ²ΠΎΠ΄Ρ Π°ΠΊΡΠΈΠ²Π½ΡΡ ΠΊΠΎΠΌΠΏΠΎΠ½Π΅Π½ΡΠΎΠ².
ΠΠ’ ΠΏΠΎΡΠ΅ΠΊ Π΄Π»Ρ Π΄Π΅ΡΠ΅ΠΉ

ΠΠΎΠ΄Π³ΠΎΡΠΎΠ²ΠΊΠ° ΠΊ ΠΠ’ ΠΏΠΎΡΠ΅ΠΊ
ΠΠΎΠΌΠΏΡΡΡΠ΅ΡΠ½Π°Ρ ΡΠΎΠΌΠΎΠ³ΡΠ°ΡΠΈΡ β ΠΎΠ΄ΠΈΠ½ ΠΈΠ· Π»ΡΡΠ΅Π²ΡΡ ΠΌΠ΅ΡΠΎΠ΄ΠΎΠ² Π΄ΠΈΠ°Π³Π½ΠΎΡΡΠΈΠΊΠΈ, ΠΎΡΠ½ΠΎΠ²Π°Π½Π½ΡΠΉ Π½Π° ΡΠ΅Π½ΡΠ³Π΅Π½Π΅. ΠΡΠ΅ΠΈΠΌΡΡΠ΅ΡΡΠ²ΠΎΠΌ ΡΠΊΠ°Π½ΠΈΡΠΎΠ²Π°Π½ΠΈΡ ΠΏΡΠΈΠ·Π½Π°Π½Π° Π²ΡΡΠΎΠΊΠ°Ρ ΠΈΠ½ΡΠΎΡΠΌΠ°ΡΠΈΠ²Π½ΠΎΡΡΡ ΠΎΡΠ½ΠΎΡΠΈΡΠ΅Π»ΡΠ½ΠΎ ΠΊΠΎΡΡΠ΅ΠΉ ΠΈ Π½Π΅ΠΎΠ΄Π½ΠΎΡΠΎΠ΄Π½ΡΡ ΡΡΡΡΠΊΡΡΡ. ΠΠΎΠ½ΡΡΠ°ΡΡΠ½ΠΎΠ΅ ΡΡΠΈΠ»Π΅Π½ΠΈΠ΅ ΠΏΠΎΠ·Π²ΠΎΠ»ΡΠ΅Ρ ΠΏΠΎΠ»ΡΡΠΈΡΡ ΠΏΠΎΠ΄ΡΠΎΠ±Π½ΡΠ΅ Π΄Π°Π½Π½ΡΠ΅ ΠΎ ΡΡΡ Π»ΡΡ ΡΠΊΠ°Π½ΡΡ ΠΈ Π²Π½ΡΡΡΠ΅Π½Π½ΠΈΡ ΠΎΡΠ³Π°Π½Π°Ρ .
Π’ΠΎΠΌΠΎΠ³ΡΠ°ΡΠΈΡ Π°ΠΊΡΠΈΠ²Π½ΠΎ ΠΈΡΠΏΠΎΠ»ΡΠ·ΡΡΡ Π² ΡΡΠΎΠ»ΠΎΠ³ΠΈΠΈ Π΄Π»Ρ Π²ΠΈΠ·ΡΠ°Π»ΠΈΠ·Π°ΡΠΈΠΈ ΠΏΠ°ΡΠΎΠ»ΠΎΠ³ΠΈΠΉ ΠΌΠΎΡΠ΅Π²ΡΠ΄Π΅Π»ΠΈΡΠ΅Π»ΡΠ½ΠΎΠΉ ΡΠΈΡΡΠ΅ΠΌΡ. Π‘ΠΊΠ°Π½ΠΈΡΠΎΠ²Π°Π½ΠΈΠ΅ ΠΏΠΎΡΠ΅ΠΊ Π°ΠΊΡΡΠ°Π»ΡΠ½ΠΎ ΠΏΡΠΈ Π½Π΅ΡΡΠΎΠ»ΠΈΡΠΈΠ°Π·Π΅, Π²ΠΎΡΠΏΠ°Π»ΠΈΡΠ΅Π»ΡΠ½ΡΡ ΠΈ ΠΎΠΏΡΡ ΠΎΠ»Π΅Π²ΡΡ ΠΈΠ·ΠΌΠ΅Π½Π΅Π½ΠΈΡΡ . ΠΡΡΠ»Π΅Π΄ΠΎΠ²Π°Π½ΠΈΠ΅ ΠΏΡΠΎΠ²ΠΎΠ΄ΡΡ ΠΏΠΎ Π½Π°Π·Π½Π°ΡΠ΅Π½ΠΈΡ Π²ΡΠ°ΡΠ°, Π΄Π»Ρ Π΄ΠΎΠΏΠΎΠ»Π½Π΅Π½ΠΈΡ ΡΠ²Π΅Π΄Π΅Π½ΠΈΠΉ Π£ΠΠ ΠΈ Π΄ΡΡΠ³ΠΈΡ ΡΡΡΠΈΠ½Π½ΡΡ ΠΌΠ΅ΡΠΎΠ΄ΠΎΠ² Π΄ΠΈΠ°Π³Π½ΠΎΡΡΠΈΠΊΠΈ. ΠΠΎΠ΄Π³ΠΎΡΠΎΠ²ΠΊΠ° ΠΊ ΠΠ’ ΠΏΠΎΡΠ΅ΠΊ ΠΏΠΎΠ²ΡΡΠ°Π΅Ρ ΠΈΠ½ΡΠΎΡΠΌΠ°ΡΠΈΠ²Π½ΠΎΡΡΡ ΡΠ΅Π·ΡΠ»ΡΡΠ°ΡΠΎΠ². ΠΠ΅ΡΠ»ΠΎΠΆΠ½ΡΠ΅ ΠΌΠ΅ΡΡ ΠΏΡΠ΅Π΄Π²Π°ΡΡΡΡ ΠΊΠ°ΠΊ Π±Π΅ΡΠΊΠΎΠ½ΡΡΠ°ΡΡΠ½ΠΎΠ΅ ΡΠΊΠ°Π½ΠΈΡΠΎΠ²Π°Π½ΠΈΠ΅, ΡΠ°ΠΊ ΠΏΡΠΎΡΠ΅Π΄ΡΡΡ Ρ ΠΈΡΠΏΠΎΠ»ΡΠ·ΠΎΠ²Π°Π½ΠΈΠ΅ΠΌ ΡΡΠΈΠ»ΠΈΡΠ΅Π»Ρ.
ΠΠ°ΠΏΠΈΡΠΈΡΠ΅ΡΡ Π½Π° ΠΠ’ ΡΠΎ ΡΠΊΠΈΠ΄ΠΊΠΎΠΉ 30%
ΠΠ°ΠΏΠΈΡΠ°ΡΡΡΡ Π½Π° ΠΠ’
ΡΠΎ ΡΠΊΠΈΠ΄ΠΊΠΎΠΉ 30%
ΠΠΎΠ³Π΄Π° Π½Π°Π·Π½Π°ΡΠ°ΡΡ ΠΠ’ ΠΏΠΎΡΠ΅ΠΊ?
ΠΠ° ΠΊΠΎΠΌΠΏΡΡΡΠ΅ΡΠ½ΡΡ ΡΠΎΠΌΠΎΠ³ΡΠ°ΡΠΈΡ Π²ΡΠ΄Π°ΡΡ Π½Π°ΠΏΡΠ°Π²Π»Π΅Π½ΠΈΠ΅, Π΅ΡΠ»ΠΈ Ρ ΠΏΠ°ΡΠΈΠ΅Π½ΡΠ° ΠΎΠ±Π½Π°ΡΡΠΆΠ΅Π½Ρ ΠΎΡΠΊΠ»ΠΎΠ½Π΅Π½ΠΈΡ ΠΏΠΎ ΡΠ΅Π·ΡΠ»ΡΡΠ°ΡΠ°ΠΌ Π£ΠΠ, ΠΏΡΠΈ Π½Π΅Ρ Π²Π°ΡΠΊΠ΅ ΠΈΠ½ΡΠΎΡΠΌΠ°ΡΠΈΠΈ Π΄Π»Ρ ΠΏΠΎΡΡΠ°Π½ΠΎΠ²ΠΊΠΈ Π΄ΠΈΠ°Π³Π½ΠΎΠ·Π°. ΠΡΡΠ»Π΅Π΄ΠΎΠ²Π°Π½ΠΈΠ΅ ΠΏΡΠΎΠ²ΠΎΠ΄ΡΡ Π΄Π»Ρ Π²ΡΡΠ²Π»Π΅Π½ΠΈΡ ΠΏΡΠΈΡΠΈΠ½ ΡΠ»Π΅Π΄ΡΡΡΠΈΡ ΡΠΈΠΌΠΏΡΠΎΠΌΠΎΠ²:
ΠΠΈΠ°Π³Π½ΠΎΡΡΠΈΠΊΠ° ΡΠΎΡΡΠΎΡΠ½ΠΈΡ ΠΏΠΎΡΠ΅ΠΊ Π½Π΅ΠΎΠ±Ρ ΠΎΠ΄ΠΈΠΌΠ° ΠΏΡΠΈ ΠΎΠ±Π½Π°ΡΡΠΆΠ΅Π½ΠΈΠΈ ΠΎΡΠΊΠ»ΠΎΠ½Π΅Π½ΠΈΠΉ Π² Π°Π½Π°Π»ΠΈΠ·Π°Ρ ΠΌΠΎΡΠΈ ΠΈ ΠΊΡΠΎΠ²ΠΈ. Π Π½Π΅ΠΊΠΎΡΠΎΡΡΡ ΡΠ»ΡΡΠ°ΡΡ ΠΏΠ°ΡΠΎΠ»ΠΎΠ³ΠΈΡ ΠΏΠΎΡΠ΅ΠΊ ΠΌΠΎΠΆΠ΅Ρ Π±ΡΡΡ ΠΏΡΠΈΡΠΈΠ½ΠΎΠΉ Π°Π½Π΅ΠΌΠΈΠΈ.
ΠΠ’ ΡΠ΅ΠΊΠΎΠΌΠ΅Π½Π΄ΡΡΡ ΠΏΡΠΎΠΉΡΠΈ ΠΏΡΠΈ:
Π ΡΠ΅Π·ΡΠ»ΡΡΠ°ΡΠ΅ ΠΊΠΎΠΌΠΏΡΡΡΠ΅ΡΠ½ΠΎΠΉ ΡΠΎΠΌΠΎΠ³ΡΠ°ΡΠΈΠΈ ΠΏΠΎΠ»ΡΡΠ°ΡΡ ΠΏΠΎΡΠ»ΠΎΠΉΠ½ΡΠ΅ ΠΈΠ·ΠΎΠ±ΡΠ°ΠΆΠ΅Π½ΠΈΡ ΠΏΠΎΡΠ΅ΠΊ Π² ΠΏΠΎΠΏΠ΅ΡΠ΅ΡΠ½ΠΎΠΉ ΠΏΠ»ΠΎΡΠΊΠΎΡΡΠΈ. ΠΠΎ ΡΠ½ΠΈΠΌΠΊΠ°ΠΌ ΠΎΡΠ΅Π½ΠΈΠ²Π°ΡΡ ΡΠ°Π·ΠΌΠ΅ΡΡ, ΡΠ°ΡΠΏΠΎΠ»ΠΎΠΆΠ΅Π½ΠΈΠ΅, ΡΡΡΡΠΊΡΡΡΡ ΠΎΡΠ³Π°Π½ΠΎΠ². ΠΠ’ ΠΏΠΎΠ·Π²ΠΎΠ»ΡΠ΅Ρ Π΄ΠΈΠ°Π³Π½ΠΎΡΡΠΈΡΠΎΠ²Π°ΡΡ Π°Π½ΠΎΠΌΠ°Π»ΠΈΠΈ ΡΠ°Π·Π²ΠΈΡΠΈΡ ΠΌΠΎΡΠ΅Π²ΡΠ΄Π΅Π»ΠΈΡΠ΅Π»ΡΠ½ΠΎΠΉ ΡΠΈΡΡΠ΅ΠΌΡ, ΡΠ²Π΅Π»ΠΈΡΠ΅Π½ΠΈΠ΅ Π»ΠΈΠΌΡΠ°ΡΠΈΡΠ΅ΡΠΊΠΈΡ ΡΠ·Π»ΠΎΠ² Π·Π°Π±ΡΡΡΠΈΠ½Π½ΠΎΠ³ΠΎ ΠΏΡΠΎΡΡΡΠ°Π½ΡΡΠ²Π°, Π΄ΠΎΠ±ΡΠΎ- ΠΈ Π·Π»ΠΎΠΊΠ°ΡΠ΅ΡΡΠ²Π΅Π½Π½ΡΠ΅ ΠΎΠ±ΡΠ°Π·ΠΎΠ²Π°Π½ΠΈΡ, Π³ΠΈΠ΄ΡΠΎΠ½Π΅ΡΡΠΎΠ·, ΡΡΠ΅Π½ΠΎΠ· ΠΌΠΎΡΠ΅ΡΠΎΡΠ½ΠΈΠΊΠΎΠ², ΠΊΠ°ΠΌΠ½ΠΈ, ΠΏΡΠΈΠ·Π½Π°ΠΊΠΈ Π²ΠΎΡΠΏΠ°Π»Π΅Π½ΠΈΡ, Π°Π±ΡΡΠ΅ΡΡΡ, ΠΏΠΎΡΠ°ΠΆΠ΅Π½ΠΈΠ΅ ΡΠΎΡΡΠ΄ΠΎΠ² ΠΈ Π΄ΡΡΠ³ΠΈΠ΅ ΠΏΠ°ΡΠΎΠ»ΠΎΠ³ΠΈΠΈ.
ΠΡΠ΅Π΄Π²Π°ΡΠΈΡΠ΅Π»ΡΠ½Π°Ρ ΠΏΠΎΠ΄Π³ΠΎΡΠΎΠ²ΠΊΠ°
Π’ΠΎΠΌΠΎΠ³ΡΠ°ΡΠΈΡ ΠΏΠΎΡΠ΅ΠΊ ΠΏΡΠΎΠ²ΠΎΠ΄ΡΡ ΠΏΡΠΈ Π½Π°ΠΏΠΎΠ»Π½Π΅Π½Π½ΠΎΠΌ ΠΌΠΎΡΠ΅Π²ΠΎΠΌ ΠΏΡΠ·ΡΡΠ΅. Π Π΄Π΅Π½Ρ ΠΈΡΡΠ»Π΅Π΄ΠΎΠ²Π°Π½ΠΈΡ Π½ΡΠΆΠ½ΠΎ ΡΠΎΠ±Π»ΡΠ΄Π°ΡΡ ΠΏΡΠΈΠ²ΡΡΠ½ΡΠΉ ΠΏΠΈΡΡΠ΅Π²ΠΎΠΉ ΡΠ΅ΠΆΠΈΠΌ. ΠΠΎΡΠ»Π΅Π΄Π½Π΅Π΅ ΠΌΠΎΡΠ΅ΠΈΡΠΏΡΡΠΊΠ°Π½ΠΈΠ΅ Π΄ΠΎΠ»ΠΆΠ½ΠΎ Π±ΡΡΡ Π½Π΅ ΠΌΠ΅Π½Π΅Π΅, ΡΠ΅ΠΌ Π·Π° ΡΠ°Ρ Π΄ΠΎ Π½Π°ΡΠ°Π»Π° ΠΏΡΠΎΡΠ΅Π΄ΡΡΡ. Π§ΡΠΎΠ±Ρ ΠΎΠ±Π΅ΡΠΏΠ΅ΡΠΈΡΡ Π½Π΅ΠΎΠ±Ρ ΠΎΠ΄ΠΈΠΌΡΡ ΡΡΠ΅ΠΏΠ΅Π½Ρ Π½Π°ΠΏΠΎΠ»Π½Π΅Π½Π½ΠΎΡΡΠΈ ΠΏΡΠ·ΡΡΡ, Π½ΡΠΆΠ½ΠΎ ΡΠΏΠΎΡΡΠ΅Π±ΠΈΡΡ 1,5-2 ΡΡΠ°ΠΊΠ°Π½Π° Π²ΠΎΠ΄Ρ Π½Π΅ΠΏΠΎΡΡΠ΅Π΄ΡΡΠ²Π΅Π½Π½ΠΎ ΠΏΠ΅ΡΠ΅Π΄ Π²Ρ ΠΎΠ΄ΠΎΠΌ Π² Π΄ΠΈΠ°Π³Π½ΠΎΡΡΠΈΡΠ΅ΡΠΊΠΈΠΉ ΠΊΠ°Π±ΠΈΠ½Π΅Ρ. ΠΠ»Ρ ΡΡΠΎΠ³ΠΎ Π»ΡΡΡΠ΅ Π±ΡΡΡ Π² ΠΊΠ»ΠΈΠ½ΠΈΠΊΠ΅ Π½Π° 10-15 ΠΌΠΈΠ½ΡΡ ΡΠ°Π½ΡΡΠ΅ Π½Π°Π·Π½Π°ΡΠ΅Π½Π½ΠΎΠ³ΠΎ Π²ΡΠ΅ΠΌΠ΅Π½ΠΈ, ΡΡΠΎΠ±Ρ Π±Π΅Π· ΡΠΏΠ΅ΡΠΊΠΈ Π²ΡΠΏΠΈΡΡ Π½ΡΠΆΠ½ΡΠΉ ΠΎΠ±ΡΠ΅ΠΌ ΠΆΠΈΠ΄ΠΊΠΎΡΡΠΈ.
ΠΠ΅ΡΠ΅ΠΌΠ΅Π½Π½ΠΎΡΡΡ ΡΠ²Π»ΡΠ΅ΡΡΡ ΠΏΡΠΎΡΠΈΠ²ΠΎΠΏΠΎΠΊΠ°Π·Π°Π½ΠΈΠ΅ΠΌ ΠΊ ΠΊΠΎΠΌΠΏΡΡΡΠ΅ΡΠ½ΠΎΠΉ ΡΠΎΠΌΠΎΠ³ΡΠ°ΡΠΈΠΈ. ΠΡΠ»ΠΈ Ρ ΠΆΠ΅Π½ΡΠΈΠ½Ρ Π΅ΡΡΡ ΠΎΡΠ½ΠΎΠ²Π°Π½ΠΈΡ ΠΏΠΎΠ»Π°Π³Π°ΡΡ, ΡΡΠΎ ΠΌΠΎΠ³Π»ΠΎ ΡΠΎΡΡΠΎΡΡΡΡΡ Π·Π°ΡΠ°ΡΠΈΠ΅, ΠΏΠ΅ΡΠ΅Π΄ ΠΈΡΡΠ»Π΅Π΄ΠΎΠ²Π°Π½ΠΈΠ΅ΠΌ ΡΠ΅ΠΊΠΎΠΌΠ΅Π½Π΄ΡΡΡ ΡΠ΄Π΅Π»Π°ΡΡ ΡΠ΅ΡΡ ΠΈΠ»ΠΈ ΡΠ΄Π°ΡΡ Π°Π½Π°Π»ΠΈΠ· ΠΊΡΠΎΠ²ΠΈ Π½Π° Π₯ΠΠ§.
ΠΠ°ΠΏΠΈΡΠΈΡΠ΅ΡΡ Π½Π° ΠΠ’ ΡΠΎ ΡΠΊΠΈΠ΄ΠΊΠΎΠΉ 30%
ΠΠ°ΠΏΠΈΡΠ°ΡΡΡΡ Π½Π° ΠΠ’
ΡΠΎ ΡΠΊΠΈΠ΄ΠΊΠΎΠΉ 30%
ΠΠΎΠΆΠ½ΠΎ Π»ΠΈ Π΅ΡΡΡ ΠΈ ΠΏΠΈΡΡ ΠΏΠ΅ΡΠ΅Π΄ ΠΠ’ ΠΏΠΎΡΠ΅ΠΊ?
ΠΠΈΠ°Π³Π½ΠΎΡΡΠΈΡΠ΅ΡΠΊΠ°Ρ ΠΏΡΠΎΡΠ΅Π΄ΡΡΠ° Π½Π΅ ΡΡΠ΅Π±ΡΠ΅Ρ ΠΎΡ ΠΏΠ°ΡΠΈΠ΅Π½ΡΠ° ΡΠΎΠ±Π»ΡΠ΄Π΅Π½ΠΈΡ Π΄ΠΈΠ΅ΡΡ. Π§ΡΠΎΠ±Ρ ΠΈΡΠΊΠ»ΡΡΠΈΡΡ Π°ΠΊΡΠΈΠ²Π½ΡΡ ΠΏΠ΅ΡΠΈΡΡΠ°Π»ΡΡΠΈΠΊΡ ΠΊΠΈΡΠ΅ΡΠ½ΠΈΠΊΠ° ΠΈ ΠΏΠΎΡΠ²Π»Π΅Π½ΠΈΠ΅ Π½Π° ΡΠ½ΠΈΠΌΠΊΠ°Ρ ΡΠ°Π·ΠΌΡΡΡΡ ΡΡΠ°ΡΡΠΊΠΎΠ², Π½Π΅ΠΎΠ±Ρ ΠΎΠ΄ΠΈΠΌ Π³ΠΎΠ»ΠΎΠ΄ Π½Π° ΠΏΡΠΎΡΡΠΆΠ΅Π½ΠΈΠΈ 4 ΡΠ°ΡΠΎΠ² Π΄ΠΎ Π½Π°ΡΠ°Π»Π° ΡΠΊΠ°Π½ΠΈΡΠΎΠ²Π°Π½ΠΈΡ. ΠΡΠ»ΠΈ ΠΈΡΡΠ»Π΅Π΄ΠΎΠ²Π°Π½ΠΈΠ΅ Π½Π°Π·Π½Π°ΡΠ΅Π½ΠΎ Π½Π° ΡΡΡΠΎ, Π·Π°Π²ΡΡΠ°ΠΊ Π½ΡΠΆΠ½ΠΎ ΠΏΡΠΎΠΏΡΡΡΠΈΡΡ. ΠΡΠΈ ΠΏΡΠΎΠ²Π΅Π΄Π΅Π½ΠΈΠΈ ΠΠ’ ΠΏΠΎΡΠ΅ΠΊ Π΄Π½Π΅ΠΌ, ΠΌΠΎΠΆΠ½ΠΎ Π΄ΠΎ 10 ΡΠ°ΡΠΎΠ² ΡΡΠ΅ΡΡΡ Π½Π΅Π±ΠΎΠ»ΡΡΡΡ ΠΏΠΎΡΡΠΈΡ. ΠΡΠ»ΠΈ ΡΠΎΠΌΠΎΠ³ΡΠ°ΡΠΈΡ Π΄Π΅Π»Π°ΡΡ Π²Π΅ΡΠ΅ΡΠΎΠΌ, Π΄ΠΎΠΏΡΡΠΊΠ°ΡΡΡΡ Π·Π°Π²ΡΡΠ°ΠΊ ΠΈ Π½Π΅ΠΏΠ»ΠΎΡΠ½ΡΠΉ ΠΎΠ±Π΅Π΄. ΠΡΡΡΠ΅ Π½Π΅ ΠΏΡΠΎΠ²ΠΎΠ΄ΠΈΡΡ ΡΠΊΡΠΏΠ΅ΡΠΈΠΌΠ΅Π½ΡΠΎΠ² Π² ΠΏΠΈΡΠ°Π½ΠΈΠΈ, Π½Π΅ ΡΠΏΠΎΡΡΠ΅Π±Π»ΡΡΡ Π½Π΅Π·Π½Π°ΠΊΠΎΠΌΡΡ ΠΏΡΠΎΠ΄ΡΠΊΡΠΎΠ². Π§ΡΠΎΠ±Ρ ΠΈΡΠΊΠ»ΡΡΠΈΡΡ Π½Π°ΡΡΡΠ΅Π½ΠΈΡ ΠΏΠΈΡΠ΅Π²Π°ΡΠ΅Π½ΠΈΡ, ΡΡΠΎΠΈΡ ΠΎΡΠ΄Π°ΡΡ ΠΏΡΠ΅Π΄ΠΏΠΎΡΡΠ΅Π½ΠΈΠ΅ Π»Π΅Π³ΠΊΠΈΠΌ, ΠΏΡΠΈΠ²ΡΡΠ½ΡΠΌ, Ρ ΠΎΡΠΎΡΠΎ ΡΡΠ²ΠΎΡΠ΅ΠΌΡΠΌ Π±Π»ΡΠ΄Π°ΠΌ (ΠΌΡΡΠΎ, ΡΡΠ±Π°, ΡΠΉΡΠ°, ΠΏΡΠΈΠ³ΠΎΡΠΎΠ²Π»Π΅Π½Π½ΡΠ΅ ΠΎΠ²ΠΎΡΠΈ).
ΠΡΠΈ ΠΏΠΎΠ΄Π³ΠΎΡΠΎΠ²ΠΊΠ΅ ΠΊ ΠΠ’ Π½Π΅Π»ΡΠ·Ρ ΡΠΏΠΎΡΡΠ΅Π±Π»ΡΡΡ Π°Π»ΠΊΠΎΠ³ΠΎΠ»Ρ. ΠΡΡΡΠ΅ ΠΎΡΠΊΠ°Π·Π°ΡΡΡΡ ΠΎΡ ΠΊΠΎΡΠ΅ΠΈΠ½ΠΎΡΠΎΠ΄Π΅ΡΠΆΠ°ΡΠΈΡ Π½Π°ΠΏΠΈΡΠΊΠΎΠ² (ΡΠ½Π΅ΡΠ³Π΅ΡΠΈΠΊΠΈ ΠΈ ΠΏΡ.). Π Π΄Π΅Π½Ρ ΠΈΡΡΠ»Π΅Π΄ΠΎΠ²Π°Π½ΠΈΡ ΠΌΠΎΠΆΠ½ΠΎ ΠΏΠΈΡΡ ΡΠΈΡΡΡΡ Π²ΠΎΠ΄Ρ ΠΈ Π½Π΅ΠΊΡΠ΅ΠΏΠΊΠΈΠΉ ΡΠ΅ΡΠ½ΡΠΉ ΡΠ°ΠΉ.
Π§ΡΠΎ Π²Π·ΡΡΡ Ρ ΡΠΎΠ±ΠΎΠΉ?
ΠΠ»Ρ ΠΎΡΠΎΡΠΌΠ»Π΅Π½ΠΈΡ Π±Π»Π°Π½ΠΊΠΎΠ² ΠΏΠΎΡΡΠ΅Π±ΡΠ΅ΡΡΡ ΡΠ΄ΠΎΡΡΠΎΠ²Π΅ΡΠ΅Π½ΠΈΠ΅ Π»ΠΈΡΠ½ΠΎΡΡΠΈ (ΠΏΠ°ΡΠΏΠΎΡΡ). ΠΠ°Π΄ΠΎ Π²Π·ΡΡΡ Π½Π°ΠΏΡΠ°Π²Π»Π΅Π½ΠΈΠ΅ Π²ΡΠ°ΡΠ° (Π΅ΡΠ»ΠΈ Π΅ΡΡΡ), ΡΠ΅Π·ΡΠ»ΡΡΠ°ΡΡ Π΄ΡΡΠ³ΠΈΡ Π΄ΠΈΠ°Π³Π½ΠΎΡΡΠΈΡΠ΅ΡΠΊΠΈΡ ΠΏΡΠΎΡΠ΅Π΄ΡΡ, ΠΈΠΌΠ΅ΡΡΠΈΡ ΠΎΡΠ½ΠΎΡΠ΅Π½ΠΈΠ΅ ΠΊ ΠΌΠΎΡΠ΅Π²ΡΠ΄Π΅Π»ΠΈΡΠ΅Π»ΡΠ½ΠΎΠΉ ΡΠΈΡΡΠ΅ΠΌΠ΅, Π·Π°ΠΊΠ»ΡΡΠ΅Π½ΠΈΠ΅ ΠΏΡΠ΅Π΄ΡΠ΄ΡΡΠ΅ΠΉ ΠΠ’ ΠΏΠΎΡΠ΅ΠΊ (Π΅ΡΠ»ΠΈ Π½ΡΠΆΠ½ΠΎ ΠΎΡΠ΅Π½ΠΈΡΡ Π΄ΠΈΠ½Π°ΠΌΠΈΠΊΡ).
ΠΠ΅ΡΠ΅Π΄ ΠΏΡΠΎΡΠ΅Π΄ΡΡΠΎΠΉ Π²Π°ΠΆΠ½ΠΎ Π²ΡΠΏΠΈΡΡ Π΄ΠΎΡΡΠ°ΡΠΎΡΠ½ΠΎΠ΅ ΠΊΠΎΠ»ΠΈΡΠ΅ΡΡΠ²ΠΎ ΠΆΠΈΠ΄ΠΊΠΎΡΡΠΈ. Π ΠΊΠ»ΠΈΠ½ΠΈΠΊΠ΅ «ΠΠΊΠ°Π΄Π΅ΠΌΠΈΡ ΠΠ Π’» Π² Π‘Π°Π½ΠΊΡ-ΠΠ΅ΡΠ΅ΡΠ±ΡΡΠ³Π΅ Π½Π° ΠΠ½Π³Π΅Π»ΡΡΠ° 133 ΠΏΠ°ΡΠΈΠ΅Π½ΡΠ°ΠΌ ΠΏΡΠ΅Π΄Π»Π°Π³Π°ΡΡ ΠΎΡΠΈΡΠ΅Π½Π½ΡΡ Π±ΡΡΠΈΠ»ΠΈΡΠΎΠ²Π°Π½Π½ΡΡ Π²ΠΎΠ΄Ρ. ΠΡΠΈ Π½Π°Π»ΠΈΡΠΈΠΈ ΠΎΡΠΎΠ±ΡΡ ΠΏΡΠ΅Π΄ΠΏΠΎΡΡΠ΅Π½ΠΈΠΉ ΠΌΠΎΠΆΠ½ΠΎ ΠΏΡΠΈΠ½Π΅ΡΡΠΈ Π½Π°ΠΏΠΈΡΠΎΠΊ Ρ ΡΠΎΠ±ΠΎΠΉ ΠΎΠ±ΡΠ΅ΠΌΠ΅ 300-400 ΠΌΠ».
ΠΡΡΡΠ΅ ΡΠ²Π΅ΡΡΠΈ ΠΊ ΠΌΠΈΠ½ΠΈΠΌΡΠΌΡ ΠΈΠ»ΠΈ Π²ΠΎΠ²ΡΠ΅ ΠΎΡΠΊΠ°Π·Π°ΡΡΡΡ ΠΎΡ ΡΠΊΡΠ°ΡΠ΅Π½ΠΈΠΉ, Π°ΠΊΡΠ΅ΡΡΡΠ°ΡΠΎΠ² Ρ ΠΌΠ΅ΡΠ°Π»Π»ΠΈΡΠ΅ΡΠΊΠΈΠΌΠΈ ΡΠ»Π΅ΠΌΠ΅Π½ΡΠ°ΠΌΠΈ, ΡΠ°ΠΊ ΠΊΠ°ΠΊ ΠΈΡ ΠΏΡΠΈΠ΄Π΅ΡΡΡ ΡΠ½ΡΡΡ ΠΏΠ΅ΡΠ΅Π΄ Π²Ρ ΠΎΠ΄ΠΎΠΌ Π² Π΄ΠΈΠ°Π³Π½ΠΎΡΡΠΈΡΠ΅ΡΠΊΠΈΠΉ ΠΊΠ°Π±ΠΈΠ½Π΅Ρ. Π ΠΊΠ»ΠΈΠ½ΠΈΠΊΡ ΠΌΠΎΠΆΠ½ΠΎ Π²Π·ΡΡΡ Π»ΡΠ±ΡΠ΅ Π²Π΅ΡΠΈ, ΡΡΠΈΡΡΠ²Π°Ρ, ΡΡΠΎ Π½Π° Π²ΡΠ΅ΠΌΡ ΠΏΡΠΎΡΠ΅Π΄ΡΡΡ ΠΏΠΎΡΠ»Π΅Π΄Π½ΠΈΠ΅ ΠΏΡΠΈΠ΄Π΅ΡΡΡ ΠΎΡΡΠ°Π²ΠΈΡΡ Π² ΡΠ°Π·Π΄Π΅Π²Π°Π»ΠΊΠ΅.
ΠΠΎΠ΄Π³ΠΎΡΠΎΠ²ΠΊΠ° Π² ΠΊΠ°Π±ΠΈΠ½Π΅ΡΠ΅ ΠΠ’
Π‘ΠΈΠ½ΡΡΠ½ΡΠ΅ ΠΊΠΈΡΡΡ ΠΏΠΎΡΠ΅ΠΊ (ΡΠΊΠ°Π·Π°Π½Ρ ΡΡΡΠ΅Π»ΠΊΠΎΠΉ) ΠΏΡΠΈ ΠΊΠΎΠΌΠΏΡΡΡΠ΅ΡΠ½ΠΎΠΉ ΡΠΎΠΌΠΎΠ³ΡΠ°ΡΠΈΠΈ
Π ΠΠ¦ Π½ΡΠΆΠ½ΠΎ Π·Π°ΠΏΠΎΠ»Π½ΠΈΡΡ Π΄ΠΎΠΊΡΠΌΠ΅Π½ΡΡ, Π²ΡΠΏΠΈΡΡ Π²ΠΎΠ΄Ρ. ΠΠ΅ΡΠ΅Π΄ Π½Π°ΡΠ°Π»ΠΎΠΌ ΠΈΡΡΠ»Π΅Π΄ΠΎΠ²Π°Π½ΠΈΡ Π½Π΅ΠΎΠ±Ρ ΠΎΠ΄ΠΈΠΌΠΎ ΡΠ½ΡΡΡ ΡΠΊΡΠ°ΡΠ΅Π½ΠΈΡ, Π°ΠΊΡΠ΅ΡΡΡΠ°ΡΡ (ΡΠ΅ΠΌΠ΅Π½Ρ, ΠΎΡΠΊΠΈ, Π·Π°ΠΊΠΎΠ»ΠΊΠΈ), Π³Π°Π΄ΠΆΠ΅ΡΡ, Π² Π΄ΠΈΠ°Π³Π½ΠΎΡΡΠΈΡΠ΅ΡΠΊΠΎΠΌ ΠΊΠ°Π±ΠΈΠ½Π΅ΡΠ΅ β Π»Π΅ΡΡ Π½Π° ΠΏΠ»Π°ΡΡΠΎΡΠΌΡ ΡΠΎΠΌΠΎΠ³ΡΠ°ΡΠ°. ΠΠ»Ρ Π±Π΅Π·ΠΎΠΏΠ°ΡΠ½ΠΎΡΡΠΈ ΡΠ΅Π»ΠΎ ΠΏΠ°ΡΠΈΠ΅Π½ΡΠ° ΡΠΈΠΊΡΠΈΡΡΡΡ ΠΌΡΠ³ΠΊΠΈΠΌΠΈ ΡΠ΅ΠΌΠ΅ΡΠΊΠ°ΠΌΠΈ. ΠΠ½Π°ΡΠΎΠΌΠΈΡΠ΅ΡΠΊΠΈΠ΅ Π·ΠΎΠ½Ρ, Π½Π΅ ΠΏΠΎΠ΄Π»Π΅ΠΆΠ°ΡΠΈΠ΅ ΠΎΡΠΌΠΎΡΡΡ, Π½Π°ΠΊΡΡΠ²Π°ΡΡ Π·Π°ΡΠΈΡΠ½ΡΠΌΠΈ ΡΠΊΡΠ°Π½Π°ΠΌΠΈ.
ΠΡΠΈ Π²ΡΠΏΠΎΠ»Π½Π΅Π½ΠΈΠΈ ΠΊΠΎΠΌΠΏΡΡΡΠ΅ΡΠ½ΠΎΠΉ ΡΠΎΠΌΠΎΠ³ΡΠ°ΡΠΈΠΈ ΠΏΠΎΡΠ΅ΠΊ Ρ ΠΊΠΎΠ½ΡΡΠ°ΡΡΠ½ΡΠΌ ΡΡΠΈΠ»Π΅Π½ΠΈΠ΅ΠΌ ΠΏΠ΅ΡΠ΅Π΄ ΠΏΡΠΎΡΠ΅Π΄ΡΡΠΎΠΉ ΡΠ°ΡΡΡΠΈΡΡΠ²Π°ΡΡ ΠΎΠ±ΡΠ΅ΠΌ ΠΈ ΡΠΊΠΎΡΠΎΡΡΡ Π²Π²Π΅Π΄Π΅Π½ΠΈΡ ΠΏΡΠ΅ΠΏΠ°ΡΠ°ΡΠ°. Π Π²Π΅Π½Ρ ΠΏΠ°ΡΠΈΠ΅Π½ΡΠ° ΡΡΡΠ°Π½Π°Π²Π»ΠΈΠ²Π°ΡΡ ΠΊΠ°ΡΠ΅ΡΠ΅Ρ, ΠΏΠΎΠ΄ΠΊΠ»ΡΡΠ΅Π½Π½ΡΠΉ ΠΊ ΠΈΠ½ΠΆΠ΅ΠΊΡΠΎΡΠ½ΠΎΠΌΡ ΡΠΏΡΠΈΡΡ Π΄Π»Ρ Π΄ΠΎΠ·ΠΈΡΠΎΠ²Π°Π½Π½ΠΎΠΉ ΠΏΠΎΠ΄Π°ΡΠΈ ΡΡΠΈΠ»ΠΈΡΠ΅Π»Ρ.
ΠΠΎΡΠ»Π΅ ΠΏΡΠΈΠ³ΠΎΡΠΎΠ²Π»Π΅Π½ΠΈΠΉ Π²ΡΠ°Ρ Π²ΡΡ ΠΎΠ΄ΠΈΡ Π² ΡΠΎΡΠ΅Π΄Π½ΠΈΠΉ ΠΊΠ°Π±ΠΈΠ½Π΅Ρ, ΠΎΡΠΊΡΠ΄Π° ΠΊΠΎΠ½ΡΡΠΎΠ»ΠΈΡΡΠ΅Ρ ΠΏΡΠΎΡΠ΅ΡΡ ΠΈ ΡΠΏΡΠ°Π²Π»ΡΠ΅Ρ ΠΎΠ±ΠΎΡΡΠ΄ΠΎΠ²Π°Π½ΠΈΠ΅ΠΌ.
ΠΡΠΎΠ±Π΅Π½Π½ΠΎΡΡΠΈ ΠΏΠΎΠ΄Π³ΠΎΡΠΎΠ²ΠΊΠΈ ΠΊ ΠΠ’ ΠΏΠΎΡΠ΅ΠΊ Ρ ΠΊΠΎΠ½ΡΡΠ°ΡΡΠΎΠΌ
Π£ΡΠΈΠ»Π΅Π½ΠΈΠ΅ ΠΏΡΠΈΠΌΠ΅Π½ΡΡΡ Π΄Π»Ρ Π΄Π΅ΡΠ°Π»ΡΠ½ΠΎΠΉ Π²ΠΈΠ·ΡΠ°Π»ΠΈΠ·Π°ΡΠΈΠΈ ΠΌΡΠ³ΠΊΠΎΡΠΊΠ°Π½Π½ΡΡ ΡΡΡΡΠΊΡΡΡ ΠΈ ΡΠΎΡΡΠ΄ΠΎΠ². ΠΠ°ΡΠΈΠ΅Π½ΡΡ Π²Π½ΡΡΡΠΈΠ²Π΅Π½Π½ΠΎ Π²Π²ΠΎΠ΄ΡΡ ΠΏΡΠ΅ΠΏΠ°ΡΠ°Ρ Π½Π° ΠΎΡΠ½ΠΎΠ²Π΅ ΠΉΠΎΠ΄Π°. ΠΠ΅ΡΠ΅ΡΡΠ²ΠΎ ΡΠ°Π·Π½ΠΎΡΠΈΡΡΡ ΠΏΠΎ ΠΎΡΠ³Π°Π½ΠΈΠ·ΠΌΡ Ρ ΡΠΎΠΊΠΎΠΌ ΠΊΡΠΎΠ²ΠΈ, ΡΠΏΠ΅ΡΠΈΡΠΈΡΠ΅ΡΠΊΠΈΠΌ ΠΎΠ±ΡΠ°Π·ΠΎΠΌ Π½Π°ΠΊΠ°ΠΏΠ»ΠΈΠ²Π°Π΅ΡΡΡ Π² ΠΎΡΠ°Π³Π°Ρ Π²ΠΎΡΠΏΠ°Π»Π΅Π½ΠΈΡ ΠΈ ΠΎΠΏΡΡ ΠΎΠ»ΡΡ , Π΄Π΅Π»Π°Ρ ΠΏΠ°ΡΠΎΠ»ΠΎΠ³ΠΈΡΠ΅ΡΠΊΠΈΠ΅ ΡΡΡΡΠΊΡΡΡΡ Ρ ΠΎΡΠΎΡΠΎ Π·Π°ΠΌΠ΅ΡΠ½ΡΠΌΠΈ Π½Π° ΡΠ½ΠΈΠΌΠΊΠ°Ρ .
ΠΠ½ΡΡΡΠΈΠΏΠΎΡΠ΅ΡΠ½Π°Ρ Π²Π°Π·ΠΎΠ³Π΅Π½Π½Π°Ρ ΠΎΠ±ΡΡΡΡΠΊΡΠΈΡ Π²Π΅ΡΡ Π½Π΅ΠΉ ΡΠ°ΡΠ΅ΡΠΊΠΈ ΠΈΠ»ΠΈ Fraley syndrome
Π§ΡΠΎΠ±Ρ ΠΏΠΎΠ΄Π³ΠΎΡΠΎΠ²ΠΈΡΡΡΡ ΠΊ ΠΠ’ ΠΏΠΎΡΠ΅ΠΊ Ρ ΠΊΠΎΠ½ΡΡΠ°ΡΡΠ½ΡΠΌ ΡΡΠΈΠ»Π΅Π½ΠΈΠ΅ΠΌ, ΡΠ»Π΅Π΄ΡΠ΅Ρ ΠΏΠ΅ΡΠ΅ΠΊΡΡΠΈΡΡ Π·Π° 40-45 ΠΌΠΈΠ½ΡΡ Π΄ΠΎ Π½Π°ΡΠ°Π»Π° ΠΈΡΡΠ»Π΅Π΄ΠΎΠ²Π°Π½ΠΈΡ. ΠΠ΅ΡΠ΅Π΄ Π²ΡΡ ΠΎΠ΄ΠΎΠΌ ΠΈΠ· Π΄ΠΎΠΌΠ° ΠΌΠΎΠΆΠ½ΠΎ ΡΡΠ΅ΡΡΡ Π½Π΅Π±ΠΎΠ»ΡΡΠΎΠΉ Π±ΡΡΠ΅ΡΠ±ΡΠΎΠ΄, Π±Π°Π½Π°Π½ ΠΈΠ»ΠΈ ΠΉΠΎΠ³ΡΡΡ. ΠΠ²Π΅Π΄Π΅Π½ΠΈΠ΅ ΠΊΠΎΠ½ΡΡΠ°ΡΡΠ° Π²ΡΠ·ΡΠ²Π°Π΅Ρ Π²Π΅Π³Π΅ΡΠ°ΡΠΈΠ²Π½ΡΠ΅ ΡΠ΅Π°ΠΊΡΠΈΠΈ (Π³ΠΎΠ»ΠΎΠ²ΠΎΠΊΡΡΠΆΠ΅Π½ΠΈΠ΅, ΠΏΡΠΈΠ»ΠΈΠ²Ρ ΠΆΠ°ΡΠ°, ΠΌΠ΅ΡΠ°Π»Π»ΠΈΡΠ΅ΡΠΊΠΈΠΉ ΠΏΡΠΈΠ²ΠΊΡΡ Π²ΠΎ ΡΡΡ, ΡΠΎΡΠ½ΠΎΡΡ). ΠΠ΅ΡΠ΅ΠΊΡΡ ΠΏΠΎΠΌΠΎΠ³Π°Π΅Ρ ΠΎΡΠ»Π°Π±ΠΈΡΡ ΠΈΠ»ΠΈ ΠΏΡΠ΅Π΄ΠΎΡΠ²ΡΠ°ΡΠΈΡΡ Π½Π΅ΠΏΡΠΈΡΡΠ½ΡΠ΅ ΠΎΡΡΡΠ΅Π½ΠΈΠ΅.
ΠΠ΅ΡΠ΅Π΄ Π²Π²Π΅Π΄Π΅Π½ΠΈΠ΅ΠΌ ΠΊΠΎΠ½ΡΡΠ°ΡΡΠ° Π²Π°ΠΆΠ½ΠΎ ΡΠ±Π΅Π΄ΠΈΡΡΡΡ Π² ΡΠ΄ΠΎΠ²Π»Π΅ΡΠ²ΠΎΡΠΈΡΠ΅Π»ΡΠ½ΠΎΠΌ ΡΡΠ½ΠΊΡΠΈΠΎΠ½ΠΈΡΠΎΠ²Π°Π½ΠΈΠΈ Π²ΡΠ΄Π΅Π»ΠΈΡΠ΅Π»ΡΠ½ΠΎΠΉ ΡΠΈΡΡΠ΅ΠΌΡ ΠΏΠ°ΡΠΈΠ΅Π½ΡΠ°. ΠΠ°ΡΠΊΠ΅ΡΠΎΠΌ ΠΏΠΎΡΠ΅ΡΠ½ΠΎΠΉ ΠΏΠ°ΡΠΎΠ»ΠΎΠ³ΠΈΠΈ ΡΠ²Π»ΡΠ΅ΡΡΡ ΠΏΡΠΎΠ΄ΡΠΊΡ Π±Π΅Π»ΠΊΠΎΠ²ΠΎΠ³ΠΎ ΠΎΠ±ΠΌΠ΅Π½Π° ΠΊΡΠ΅Π°ΡΠΈΠ½ΠΈΠ½. Π£ΡΠΎΠ²Π΅Π½Ρ Π²Π΅ΡΠ΅ΡΡΠ²Π° Π² ΠΊΡΠΎΠ²ΠΈ ΠΌΠΎΠΆΠ½ΠΎ ΠΏΡΠΎΠ²Π΅ΡΠΈΡΡ Π½Π΅ΠΏΠΎΡΡΠ΅Π΄ΡΡΠ²Π΅Π½Π½ΠΎ Π² ΠΠ¦ «ΠΠΊΠ°Π΄Π΅ΠΌΠΈΡ ΠΠ Π’» Π² Π‘ΠΠ± (ΠΏΠ»Π°ΡΠ½ΠΎ) ΠΈΠ»ΠΈ ΠΏΡΠ΅Π΄ΠΎΡΡΠ°Π²ΠΈΡΡ ΡΠ΅Π·ΡΠ»ΡΡΠ°Ρ Π±ΠΈΠΎΡ ΠΈΠΌΠΈΡΠ΅ΡΠΊΠΎΠ³ΠΎ Π°Π½Π°Π»ΠΈΠ·Π°, ΡΠ΄Π΅Π»Π°Π½Π½ΠΎΠ³ΠΎ Π½Π΅ ΡΠ°Π½Π΅Π΅, ΡΠ΅ΠΌ Π·Π° 14 Π΄Π½Π΅ΠΉ.





